Artritis en gatos: síntomas, tratamiento y remedios naturales
Ver fichas de Gatos
¿A los gatos les da artritis? Es una pregunta que pueden hacerse los cuidadores, especialmente si tienen algún caso cercano en la familia y dudan si los gatos también pueden desarrollar esta enfermedad. La respuesta es afirmativa: los gatos también pueden sufrir artritis. La artritis felina es una enfermedad que afecta las articulaciones de nuestros gatos y, en la mayoría de los casos, está relacionada con un proceso inflamatorio que causa dolor, rigidez y dificultad o molestias al realizar los movimientos habituales. Aunque es más frecuente en gatos mayores, también puede presentarse en gatitos. No debemos confundirla con la artrosis, que es otra enfermedad que también afecta las articulaciones y que, a su vez, puede ser causa o consecuencia de la artritis. Si quieres conocer las diferencias entre ambas enfermedades, en qué consiste la artritis en gatos más a fondo, cómo se diagnostica y se trata, continúa leyendo este artículo de ExpertoAnimal.
- ¿Qué es la artritis en gatos?
- ¿Qué causa la artritis en gatos?
- ¿Qué tipos de artritis hay en gatos?
- ¿A qué edad puede aparecer la artritis en los gatos?
- ¿Cuáles son los síntomas de artritis en gatos?
- ¿Cómo se diagnostica la artritis en gatos?
- ¿Qué tratamiento hay para la artritis en gatos?
- ¿Hay remedios naturales para la artritis en gatos?
- ¿Qué cuidados necesita un gato con artritis en casa?
- ¿Se puede prevenir la artritis en gatos?
¿Qué es la artritis en gatos?
La artritis en gatos es una enfermedad inflamatoria de las articulaciones que causa dolor, rigidez y dificultad para moverse. Las causas son diversas, destacando lesiones, infecciones, enfermedades autoinmunitarias o el desgaste natural del cartílago. Aunque es más frecuente en gatos de edad avanzada, los gatitos y los gatos de mediana edad también pueden padecerla, especialmente debido a traumatismos o problemas en el desarrollo de las articulaciones. La artritis puede afectar a una o varias articulaciones de nuestros pequeños felinos.
¿Es lo mismo que la artrosis?
Es importante saber que no es sinónimo de artrosis: la artritis es un proceso inflamatorio agudo o crónico, mientras que la artrosis es una enfermedad degenerativa en la que el cartílago de la articulación se desgasta progresivamente, causando dolor crónico y limitando el movimiento, pero sin inflamación evidente en la mayoría de los casos. Sin embargo, muchos casos de artritis crónica no tratada pueden evolucionar hacia la artrosis. Aquí te contamos los síntomas: "Artrosis en gatos: síntomas y tratamiento".
¿Qué causa la artritis en gatos?
La artritis en gatos puede deberse a diferentes causas, siendo las más comunes las lesiones o traumatismos previos, como fracturas o luxaciones que dañan la articulación, especialmente en gatos jóvenes. También pueden ser responsables enfermedades autoinmunitarias, en las que el propio sistema inmune del felino ataca sus tejidos articulares, infecciones bacterianas o virales en las articulaciones (artritis séptica), o trastornos del desarrollo como problemas de crecimiento o displasia de cadera, sobre todo en gatos de mayor tamaño.
Cabe destacar que existen factores que predisponen o agravan el desgaste articular, siendo el sobrepeso uno de los principales, ya que ejerce mayor presión sobre las articulaciones y acelera la aparición de signos clínicos como rigidez o dolor. En ocasiones, la artritis también puede aparecer de forma secundaria a una artrosis o estar relacionada con una predisposición genética del gato.
¿Qué tipos de artritis hay en gatos?
La artritis en gatos se puede clasificar en diferentes tipos según su causa u origen. De esta forma, podemos dividir la artritis felina en las siguientes categorías:
- Artritis inflamatoria: causada directamente por un proceso inflamatorio, que a su vez puede ser infeccioso o séptico, provocado por microorganismos como bacterias o virus, e incluso por la invasión de parásitos en la articulación. También puede ser inmunomediada, cuando el sistema inmune del felino ataca sus propias articulaciones, como ocurre en la artritis reumatoide.
- Artritis no inflamatoria o degenerativa: aquella que no está producida por inflamación, sino por un desgaste progresivo del cartílago articular. Es más común en gatos mayores y, en ocasiones, puede derivar en artrosis.
- Artritis traumática: ocurre de forma secundaria a lesiones, daños, fracturas o luxaciones articulares, que dañan la articulación y desencadenan inflamación articular o artritis.
- Artritis metabólica o secundaria: producida como consecuencia de trastornos hormonales o endocrinos, o por sobrepeso u obesidad.
¿A qué edad puede aparecer la artritis en los gatos?
La artritis puede presentarse en gatos de cualquier edad, aunque es más frecuente en gatos mayores de 7 años, como consecuencia del desgaste natural de las articulaciones y la reducción de la elasticidad del cartílago con la edad, lo que ocasiona rigidez y dolor. Sin embargo, como hemos mencionado, en ocasiones la artritis también puede ser causada por traumatismos, daños o malformaciones articulares, siendo estas causas más comunes en gatos jóvenes. Además, la predisposición genética puede hacer que algunos gatos desarrollen la enfermedad a edad mediana, por lo que, en realidad, la artritis puede afectar a gatos de cualquier edad.
¿Cuáles son los síntomas de artritis en gatos?
La artritis en gatos, al igual que la artrosis, a veces puede ser difícil de detectar, ya que nuestros pequeños felinos tienden a ocultar su dolor. Sin embargo, existen síntomas clave que pueden alertar a los cuidadores. Uno de los más habituales es la reducción de la actividad, volviéndose más tranquilos y rechazando saltar a sofás o trepar y correr como antes.
Algunos gatos también pueden mostrar cierta cojera e incluso agresividad si se les acaricia la zona de la articulación afectada. Otros cambios de comportamiento incluyen aislamiento e irritabilidad. Además, algunos gatos pueden reducir la frecuencia de su acicalamiento, lo que hace que su pelaje se vea más descuidado, ya que evitan movimientos dolorosos al intentar alcanzar todas las partes de su cuerpo mientras se lamen.
¿Cómo se diagnostica la artritis en gatos?
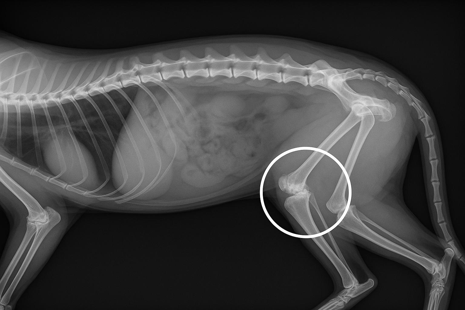
Si te preguntas: "¿cómo saber si mi gato tiene artritis?", debes saber que el diagnóstico en nuestros felinos requiere una combinación de varios pasos. Primero, una exploración física adecuada, en la que se palpan las articulaciones para detectar dolor, inflamación o rigidez. También es fundamental una anamnesis completa con el cuidador, en la que se consultan cambios en el comportamiento y estado físico del gato, entre otras preguntas. Finalmente, se realizan pruebas complementarias, como técnicas de diagnóstico por imagen, para confirmar el diagnóstico.
Entre estas pruebas, la radiografía es la técnica más común, ya que permite visualizar alteraciones en las articulaciones, como la formación de hueso nuevo u osteofitos, la reducción del espacio articular, erosiones óseas o el engrosamiento de la cápsula articular. En casos más complejos o dudosos, pueden requerirse técnicas avanzadas como la resonancia magnética o la tomografía computarizada, que permiten evaluar mejor los tejidos blandos y el cartílago.
Además, cuando se sospecha de artritis infecciosa o autoinmune, se puede analizar el líquido sinovial, así como realizar hemogramas o pruebas específicas para detectar alteraciones inmunológicas y la presencia de patógenos.
¿Qué tratamiento hay para la artritis en gatos?
¿La artritis en gatos tiene cura? La respuesta es que no, la artritis no tiene cura, pero sí se puede realizar un tratamiento sintomático para manejar los síntomas y mejorar la calidad de vida de nuestros pequeños felinos afectados. Además, si el gato tiene sobrepeso, es importante reducir su peso, ya que el exceso de peso ejerce una presión extra sobre las articulaciones, empeorando el cuadro. También se puede recomendar fisioterapia o masajes suaves que mejoren la flexibilidad y fortalezcan la musculatura. En los casos más graves o cuando nada resulta efectivo, se puede considerar el empleo de cirugías o infiltraciones intraarticulares.
Medicamentos para la artritis en gatos
Dentro del tratamiento farmacológico para gatos con artritis, destacan los antiinflamatorios no esteroides (AINEs), que se utilizan para manejar el dolor y la inflamación articular. En casos de dolor más intenso o crónico, se pueden emplear analgésicos del grupo de los opioides, así como gabapentina o amantadina. También se suelen indicar suplementos como glucosamina, condroitina, condroprotectores y ácidos grasos omega 3, que ayudan a proteger el cartílago y a reducir la progresión del daño articular.
¿Hay remedios naturales para la artritis en gatos?
Como hemos comentado en el apartado de tratamiento, existen suplementos que no son fármacos y que pueden ayudar en casos de artritis en gatos, como la glucosamina, los ácidos grasos omega 3 y la condroitina, que favorecen la salud del cartílago articular y reducen la inflamación.
Por otro lado, también se pueden emplear extractos naturales, como la cúrcuma, en dosis adaptadas para nuestros gatos. Sin embargo, estos remedios son completamente complementarios y no reemplazan el tratamiento médico con fármacos para controlar el dolor y la inflamación o, en los casos más graves, la cirugía.
¿Qué cuidados necesita un gato con artritis en casa?
El principal cuidado de un gato con artritis es seguir adecuadamente el tratamiento pautado por el veterinario para manejar los síntomas tan desagradables de la enfermedad y mejorar su calidad de vida. Además, deberás controlar su peso y hacer adaptaciones en el hogar para que el pequeño felino no tenga que subir o hacer movimientos dolorosos para llegar a sus lugares de descanso, rascado, alimento o arenero. También es importante realizar ejercicios controlados o la fisioterapia indicada, siempre bajo la guía de un profesional.
¿Se puede prevenir la artritis en gatos?
No, la artritis felina no es una enfermedad que se pueda prevenir, ya que muchas veces está relacionada con el envejecimiento natural del gato y el desgaste de sus articulaciones. Sin embargo, sí es posible retrasar su aparición o reducir el riesgo manteniendo a nuestro gato en un peso saludable, fomentando una actividad física regular y moderada, y proporcionándole una alimentación de calidad y equilibrada, diseñada para la especie felina y enriquecida con los nutrientes que hemos mencionado, como la glucosamina, la condroitina y los ácidos grasos omega 3.
Este artículo es meramente informativo, en ExpertoAnimal.com no tenemos facultad para recetar tratamientos veterinarios ni realizar ningún tipo de diagnóstico. Te invitamos a que lleves a tu mascota al veterinario en el caso de que presente cualquier tipo de condición o malestar.
Si deseas leer más artículos parecidos a Artritis en gatos: síntomas, tratamiento y remedios naturales, te recomendamos que entres en nuestra categoría de Enfermedades degenerativas.
