Fracturas en las patas de los perros - Síntomas y tratamiento
Ver fichas de Perros
Las fracturas en las patas de los perros son lesiones que ocurren más frecuentemente de lo que parecen y ponen en riesgo la calidad de vida del animal. Es normal que el dueño de la mascota se preocupe al ver que su perrito tiene alguna dificultad en la marcha, o que en alguna posición en específico no logre apoyar correctamente alguno de sus miembros; por eso es normal que acudan al veterinario con ciertas dudas.
En este artículo de Experto Animal, desarrollaremos los tipos de fracturas en las patas de los perros, causas y tratamientos, para que el propietario tenga más información a la hora de que su mascota curse con este tipo de problemas.
Tipos de fracturas en las patas de los perros
Hay muchas maneras de diagnosticar una fractura, pero la clasificación más utilizada es según su forma. Por supuesto, después de clasificar la fractura según la forma, se le puede poner el “apellido” de la ubicación donde ocurrió, es decir, el nombre de esa estructura anatómica que se lesionó. Los tipos de fractura más comunes son los siguientes:
- Fractura oblicua: es una fractura que lleva una forma diagonal.
- Fractura transversal: lleva este nombre porque divide al hueso en el plano transverso, es decir, la línea de la fractura termina siendo prácticamente perpendicular al eje longitudinal del hueso.
- Fractura espiroidal: en este caso, la rotura se produce en espiral alrededor del hueso.
- Fractura conminuta: es aquella en la que el hueso se rompe en varios fragmentos, dificultando o impidiendo seguir una línea de fractura como las nombradas anteriormente.
Sin importar la línea de la fractura, cuando el hueso lesiona tejidos vecinos al romperse y termina atravesando la piel, se clasifica como fractura expuesta.
Por otro lado, también puede parecerte interesante este otro artículo sobre Fractura de cadera en perros - Síntomas, tratamiento y cuidados.
¿Cómo saber si mi perro tiene la pata rota? – Síntomas
Por suerte, los signos y síntomas asociados a fracturas son bastante específicos y le darán tanto al propietario como al veterinario una vía para tener un diagnóstico presuntivo. Si un perro fue arrollado por un automóvil, sufrió una caída o se dio un golpe fuerte en alguna de sus patas, lo primero que preocupará al propietario es la posibilidad de una fractura. Los síntomas comunes tras alguno de estos acontecimientos son:
- Estrés: el animal busca un refugio en el que esconderse debido al estrés que presenta.
- Dificultad para apoyar la pata: el signo por excelencia de las fracturas en las patas siempre será la claudicación; el animal está imposibilitado anatómicamente para apoyar dicho miembro de manera correcta.
- Inflamación: puede ir acompañado por supuesto, de una gran inflamación, que si se palpa con cuidado, se puede notar caliente (signo típico de la flogosis).
- Dolor: el dolor no se puede dejar a un lado. Puede que al principio el animal actúe normal, y solo se le note que claudica, pero al pasar unos minutos, baja la concentración de ciertas sustancias en el organismo y aparece el dolor.
- Falta de apetito: este dolor nos puede llevar al siguiente síntoma: la inapetencia. Es bastante común que un animal adolorido y estresado no tenga en sus prioridades comer, y lo podemos notar en todas las afecciones que conllevan dolor, no solo en fracturas.
¿Cómo saber si mi perro tiene una pata dislocada?
Se debe conocer que una fractura es algo distinto a una dislocación en perros, aunque afortunadamente los signos son prácticamente los mismos, y el diagnostico definitivo se realiza mediante rayos X por el médico veterinario.
¿Cuánto tarda en soldar la pata de un perro?
Sin duda alguna, lo más difícil del proceso de las fracturas, es la recuperación. Ni siquiera la mejor cirugía de todas podría ayudar a soldar el hueso si la recuperación no es la correcta. Hablar de tiempos a la hora de que sane un hueso es algo inespecífico y depende de muchos factores (tipo de fractura, raza, peso, edad, recuperación).
Sin embargo, se debe tener en consideración que los perros de talla pequeña tienen mejores pronósticos que los perros de talla grande, debido a que son menos pesados. También se le debe dar mucha importancia al tipo de fractura y sus cuidados; una fractura expuesta que no ha sido cuidada puede acarrear una infección y eso atrasaría en gran medida la recuperación de dicha estructura anatómica.
Dicho esto, un perro de talla mediana, con una fractura reducida correctamente en quirófano y una recuperación hecha como es debido, podría hacer osteosíntesis en cuestión de semanas; no es el caso de un perro que, además de superar los 20Kg, no se le supo brindar el confinamiento adecuado, ni la medicación que merecía, en este caso puede, llegar a tardar hasta 6 meses en terminar el proceso de osteosíntesis (incorrectamente la mayoría de las veces).
Fractura en la pata delantera del perro
Afortunadamente, el perro, al ser cuadrúpedo, distribuye su peso en cuatro miembros, y eso nos brinda cierta facilidad a la hora de tratar una fractura a nivel de las patas. Hablando de miembros delanteros, podemos comentar los distintos huesos que los componen (escápula, húmero, radio cúbito, carpos, metacarpo y falanges).
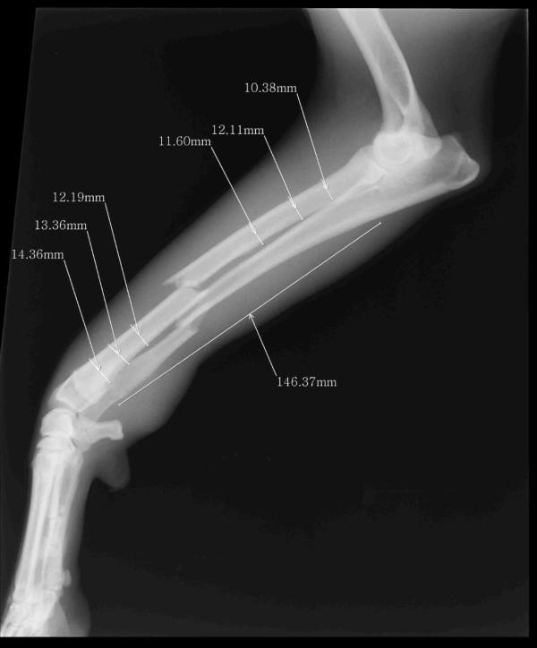
Las fracturas a nivel de la escápula son poco frecuentes y son asociadas a traumatismos por atropellos. Las fracturas más frecuentes en miembros torácicos son a nivel de húmero y radio cúbito, que pueden lesionarse por infinidades de accidentes, desde arrollamientos hasta caídas.
En la región más distal del miembro posterior, encontramos los carpos, el metacarpo y las falanges. Las fracturas a nivel de las falanges y a nivel del metacarpo son también poco comunes y bastante difíciles de recuperar, debido a que son las estructuras que el animal apoya directamente.
También puede interesarte este otro artículo sobre Mi perro cojea de una pata delantera - Causas y soluciones.
Fractura de fémur en perros
Es una de las fracturas más comunes en casos de atropello y son un reto para el médico veterinario tratante, sobretodo, como se comentó anteriormente, si el perro es de talla grande. Hay muchísimas técnicas quirúrgicas para resolver una fractura de fémur, pero se debe tener en cuenta, que si el perro no recibe el confinamiento adecuado, podría perder la cirugía en pocos días.
En la región más distal del miembro posterior encontramos a los tarsos, el metatarso y las falanges. Las fracturas de metatarso en perros deben corregirse según su clasificación y son una de las fracturas más dolorosas para el animal.
Tampoco hay que confundir una fractura con un esguince. Para distinguirlo, te dejamos este otro artículo sobre Esguince en perros - Causas, síntomas y tratamiento.
Este artículo es meramente informativo, en ExpertoAnimal.com no tenemos facultad para recetar tratamientos veterinarios ni realizar ningún tipo de diagnóstico. Te invitamos a que lleves a tu mascota al veterinario en el caso de que presente cualquier tipo de condición o malestar.
Si deseas leer más artículos parecidos a Fracturas en las patas de los perros - Síntomas y tratamiento, te recomendamos que entres en nuestra categoría de Otros problemas de salud.
¿Tienes contratado el Seguro de Responsabilidad Civil obligatorio para perros? Consiguelo al mejor precio rellenando el formulario con tus datos y los de tu mascota haciendo clic en este botón:
- Hamish y Butterworth (2000). A guide to canine and feline orthopaedic surgery. Blackwell Science.

Mi cachorro fue atropellado, sufrió fractura en 3 costillas y su pata delantera derecha, el se está recuperando y tiene mucho apetito pero no está haciendo popó , no se si es por que no puede apoyar su patita o aún no puede hacer fuerza para expulsar su popó ! Su patita se ve muy rígida y un poco inflamada! Ayúdenme , ya fui al veterinario y dijo no tener fractura en la pata , pero yo quisiera saber si llevarlo a un quiropráctico veterinario o a un neurólogo! !
Ayer le hicieron cirujía a mi perrito le colocaron clavos y nos dijo el veterinario que va estar así unos 17 días, nos recomendó cuidados mi pregunta es si hay alimentos que no se le deben dar para que cicatrice más rápido, y nos cuesta trabajo darle sus pastillas, .
Hola! Mi perrita, una cachorra pastor alemán de 9 meses, que acababa de ser castrada, fue chocada violentamente por un vehículo y le produjo fractura de tibia y peroné desplazada
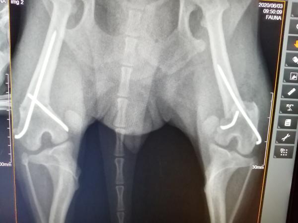
El 27 de mayo cirugía, está radiografía de hoy y se ve cómo está su pata izquierda, le hacen cirugía de corrección y comenta el doctor que le dejó tal cual cuál su fémur solo le apretó los clavos porque ya solo el HUESO mi pregunta es
El miércoles 37 de junio del 2020 operaron a mi chihuahueña de 3 años tuvo politraumatismo en las patas traseras en la altura del fémur cerca de la rodilla le pusieron dos clavos cruzados en cada pata, pero hoy miércoles 8 días después se le hizo una cirugía de corrección de la pata izquierda, porque su fractura quedó igual como si no se le hubiera hecho nada , el médico dijo que sólo le volvió a colocar los clavos más apretados porque su fractura ya estaba soldada vy ya no podía hacer nada, mi pregunta es ES POSIBLE QUE LA FRACTURA YA HAYA SOLDADO EN 8 DIAS Y NO SE PUEDA CORREGIR?, la perrita tiene 4 años 6 meses