Giardiasis en gatos - Síntomas y tratamiento
Ver fichas de Gatos
Las enfermedades parasitarias son muy comunes en los mamíferos. Aunque el modo de contagio y el daño que pueden producir en el organismo varían en función del parásito, en todos los casos es recomendable acudir al veterinario, ya que muchas de estas enfermedades se transmiten a otros animales e incluso a los seres humanos.
En este artículo de ExpertoAnimal hablaremos de una de estas enfermedades en concreto, la giardiasis en gatos, síntomas y tratamiento, un problema relativamente común en los gatos que también puede tener consecuencias para las personas.
¿Qué es la giardia?
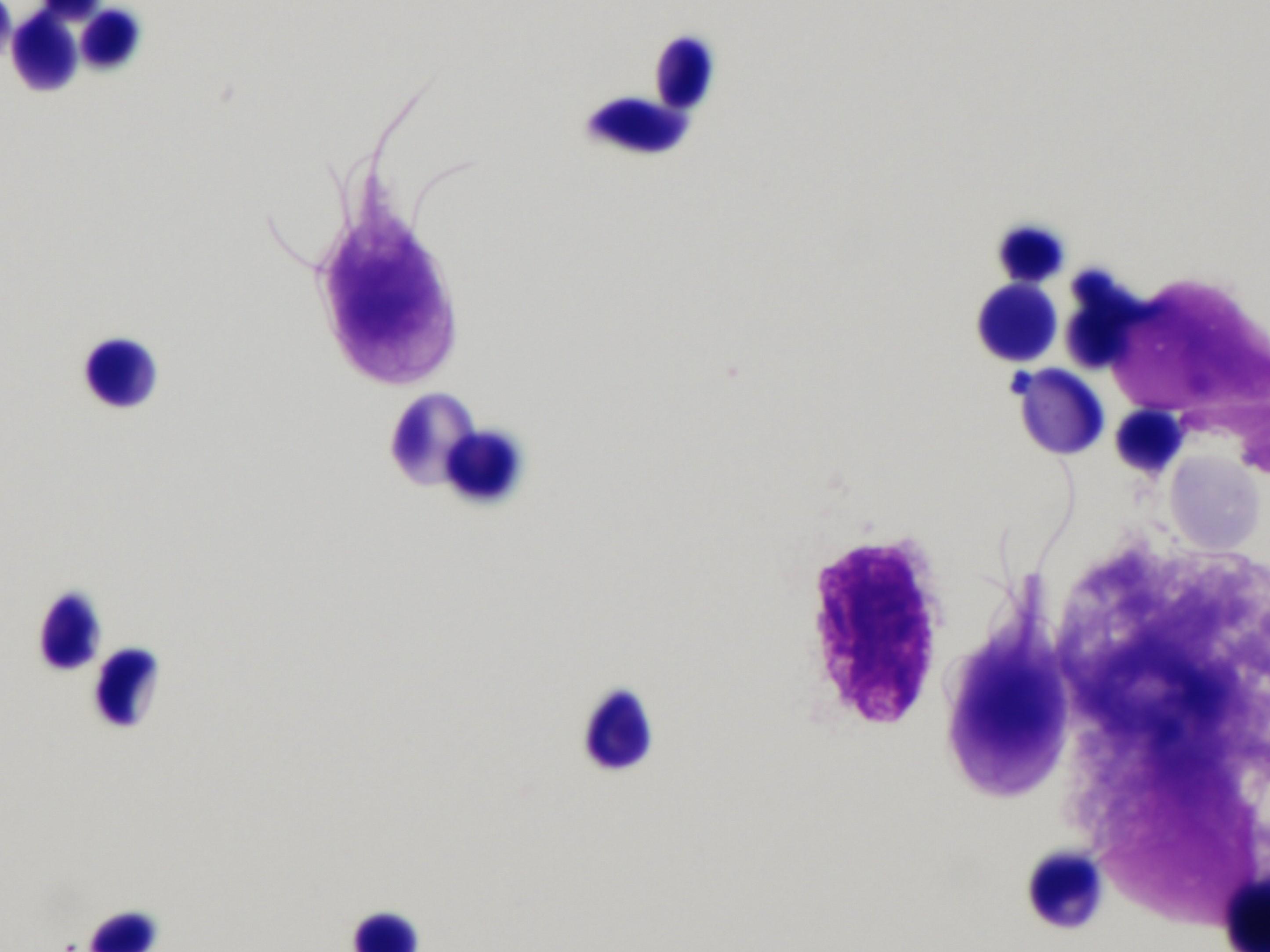
La giardia es el protozoo flagelado apreciable al microscopio y causante de la giardiasis. Aunque se habla de Giardia lamblia, Giardia intestinalis o Giardia duodenalis, no hay varios tipos de giardias en gatos, sino uno que recibe distintos nombres. Este parásito se localiza en el intestino y su actividad sobre él es la responsable de la sintomatología, aunque esta no se presenta en todos los gatos con giardia, pues los hay asintomáticos.
A lo largo de su vida la giardia tiene dos formas: el trofozoíto, que es el protozoo con los flagelos que le permiten desplazarse por el intestino, y el quiste, que es una forma dura y sin flagelo que puede vivir fuera del gato, alojada en sus heces, a la espera de un nuevo huésped.
¿Qué es la giardiasis en gatos?
Como avanzamos, la enfermedad producida por la giardia se llama giardiasis y afecta al intestino, causando diferentes alteraciones de mayor o menor intensidad. Esta enfermedad no solo afecta a los gatos, sino que puede transmitirse también a perros, ganado o incluso a los seres humanos.
Es más común encontrar signos clínicos de giardia en gatos bebés, ejemplares adultos con el sistema inmune debilitado, como los que sufren de leucemia felina o de inmunodeficiencia felina, en animales muy mayores, así como, también, en los que viven hacinados o en grandes colonias de gatos, tanto en la calle como en los refugios.
La giardiasis rara vez suele causar la muerte, pero sí pueden fallecer gatos con signos clínicos graves que no reciben el tratamiento que necesitan. Por otra parte, hay que recordar que la giardia es contagiosa, pudiendo incluso transmitirse a los seres humanos.
¿Cómo se contagia la giardia en gatos?
El contagio se produce por contacto del gato con heces contaminadas por quistes de giardia. Por ejemplo, con que los gatos se manchen de heces y después se laman la zona sucia, ya es suficiente como para que el parásito ingrese en su organismo.
Pero el contagio también es posible si el gato bebe en charcos de agua contaminados con quistes de giardias o, en general, contacta con alimentos o superficies igualmente contaminadas. Recuerda que un gato con giardias puede no mostrar síntomas, pero se corre el mismo riesgo de contagiar a otros animales e incluso a personas de la casa.
Síntomas de giardiasis en gatos
En los casos en los que los gatos muestran signos clínicos derivados de la presencia de giardias en su intestino debemos acudir al veterinario. Los síntomas más comunes son los siguientes:
- Diarrea mucosa o acuosa de presentación aguda o crónica.
- Flatulencias.
- Ruidos intestinales.
- Deshidratación en los casos de diarrea más intensa.
- Pérdida de peso.
- Anorexia.
- Vómitos.
- Apatía.
Diagnóstico de giardiasis en gatos
El diagnóstico tiene que hacerlo el veterinario y se basa en la visualización directa del parásito en una muestra de heces. Pero esto no siempre es sencillo. Teóricamente, los quistes de giardia debería ser descubiertos mediante técnicas de flotación fecal. Sin embargo, no todas las deposiciones contienen el parásito, por lo que detectar su presencia no siempre es fácil.
Si se sospecha de giardiasis y no es posible apreciar el parásito en la muestra, se recomienda repetir el examen varias veces en distintos días. Hacen falta tres análisis negativos para descartar la presencia de las giardias. Otra opción es detectar proteínas de este protozoo mediante un test Elisa.
¿Cómo eliminar giardias en gatos? - Tratamiento
El tratamiento contra la giardiasis comprende el uso de un antiparasitario y de un antibiótico, por supuesto, siempre prescritos por el veterinario. Puede durar de 3 a 15 días, según cada caso. Además, es recomendable ofrecerle al gato, mientras muestre los signos clínicos, una dieta específica para problemas digestivos. También hay que controlar la hidratación.
Conviene limpiar las heces en cuanto las descubramos y también está recomendado limpiarle al propio gato la región anal y los cuartos traseros. Si tu gato es de pelo largo, es buena idea recortar un poco el pelaje de esta zona. Utiliza guantes para ello y lávate bien para minimizar los riesgos. También hay que limpiar todos los espacios con lejía, dejándola secar 48 horas, y lavar los accesorios y utensilios a más de 60 ºC.
¿Cómo prevenir la giardiasis en gatos?
Es posible prevenir la giardiasis en gatos siguiendo unas sencillas medidas. Enumeramos las siguientes:
- Limpiar bien el ambiente.
- Lavar bebederos y comederos.
- Retirar las heces y eliminarlas.
- Mantener al gato bien aseado. Así se evita que se diseminen los quistes.
- Cualquier gato con diarrea debe acudir al veterinario.
- Si introducimos un nuevo gato en casa es recomendable ponerlo en cuarentena.
Este artículo es meramente informativo, en ExpertoAnimal.com no tenemos facultad para recetar tratamientos veterinarios ni realizar ningún tipo de diagnóstico. Te invitamos a que lleves a tu mascota al veterinario en el caso de que presente cualquier tipo de condición o malestar.
Si deseas leer más artículos parecidos a Giardiasis en gatos - Síntomas y tratamiento, te recomendamos que entres en nuestra categoría de Enfermedades parasitarias.
- Consejo Europeo para el Control de las Parasitosis de los Animales de Compañía (ESCCAP) (2013). Guía nº 6 Control de Protozoos Intestinales en Perros y Gatos.
- Nelson y Couto. Medicina interna de pequeños animales. Elsevier España. pp. 454-456.
