Parásitos intestinales en gatos - Síntomas y tratamiento
Ver fichas de Gatos
Los parásitos intestinales en gatos son probablemente uno de los motivos de consulta veterinaria más frecuente, especialmente cuando acabamos de adoptar un gatito de corta edad. No obstante, debemos saber que los felinos adultos también son susceptibles a padecerlos, incluso aquellos que viven en el interior, ya que nosotros mismos podemos transportarlos en los zapatos sin querer. De ahí la importancia de desparasitar a nuestros gatos de forma periódica, utilizando siempre productos de prescripción veterinaria.
La presencia de lo que vulgarmente conocemos como "lombrices en los gatos", comúnmente presente en las heces del individuo, suele ser suficiente para realizar un diagnóstico. Sin embargo, hay algunos síntomas menos llamativos como el pelaje áspero y la distensión abdominal que pueden ocultar la presencia de los parásitos hasta que la infestación está generalizada.
En este artículo de ExpertoAnimal hablaremos en detalle de los parásitos en gatos y encontrarás una guía completa sobre los parásitos intestinales en gatos, síntomas y tratamiento. Te explicaremos detalles sobre la sintomatología, cómo se produce el contagio, qué opciones de tratamiento existen y mucho más, ¡sigue leyendo!
- Síntomas de parásitos intestinales en gatos
- Tipos de parásitos intestinales en gatos
- Nematodos en gatos o gusanos redondos
- Cestodos en gatos o gusanos planos
- Parásitos microscópicos intestinales en gatos
- ¿Cómo desparasitar a un gato?
- Remedios caseros para los parásitos intestinales en gatos
- ¿Los parásitos intestinales se contagian a humanos?
Síntomas de parásitos intestinales en gatos
¿Cómo saber si mi gato tiene parásitos? Como te hemos adelantado en la introducción, no todos los parásitos intestinales se advierten fácilmente a través de la presencia de lombrices en las heces, por lo que es importante estar atentos a la sintomatología más común, que incluye otras manifestaciones clínicas, tales como:
- Pérdida de peso
- Anemia
- Diarrea
- Problemas de crecimiento
- Pelaje sin brillo
- Abdomen hinchado
- Abdomen inflamado
- Vómitos
- Heces oscuras
- Gastritis
- Mala absorción alimentaria
- Apatía
- Diarrea con sangre
- Diarrea acuosa
Ahora que ya hemos visto cuáles son los síntomas de parásitos en gatos, concretamente los intestinales, vamos a conocer más detalladamente los tipos.
Tipos de parásitos intestinales en gatos
Existen distintos tipos de parásitos internos en gatos, por lo que es importante aprender a diferenciarlos. A continuación te hablaremos de los más comunes:
- Los nematodos: también conocidos como gusanos redondos.
- Los cestodos o tenias: conocidos como gusanos planos.
- Las giardias, los coccidios o la toxoplasmosis, entre otros.
Ahora que ya sabemos cuáles son los tipos de parásitos intestinales en gatos que pueden existir, vamos a ver más detalladamente que síntomas provocan cada uno de ellos.
Nematodos en gatos o gusanos redondos
Cómo ya sabemos cómo saber si mi gato tiene parásitos, vamos a conocer qué parásitos intestinales son más comunes en los gatos. Bajo la denominación de nematodos se agrupan muchos tipos de parásitos que podrían catalogarse como auténticas lombrices por su aspecto similar a las mismas. Dentro de este grupo, los gatos se ven afectados con frecuencia por dos tipos de parásitos:
- Ascáridos
- Ancylostómidos
Nematodos ascáridos
Aquí encontramos al Toxocara cati y al Toxascaris leonina, siendo este segundo menos importante en cuanto a incidencia y sintomatología. Sin duda la prevalencia de Toxocara cati hace necesaria una mención a fondo del mismo: tiene un ciclo biológico directo, pero muy complicado, básicamente los huevos salen al exterior y tras unos días, se forma dentro de ellos una larva infectiva (larva en fase lll).
Este huevo con larva infectiva puede tragárselo un gatito, en cuyo caso el huevo eclosiona en intestino, la L-lll atraviesa la pared intestinal y mediante la circulación llega al hígado y de ahí, al pulmón (sistema porta).
Hay una nueva muda al siguiente estadío larvario, y mediante la tos, que produce flemas y reflejo deglutorio, esa larva pasa a boca y vuelve al intestino delgado. Allí se hará adulto, y se fijará al intestino, tomando nutrientes directamente y compitiendo por su absorción con el gatito.
No ingieren sangre, pero expolian nutrientes, pudiendo dar lugar a síntomas característicos de estos parásitos en gatos, los ascáridos, son:
- Pelaje áspero.
- Poca ganancia de peso.
- Distensión de abdomen.
- Vómito con gusanos enrollados como muelles.
- Diarreas.
En ocasiones causan obstrucción mecánica del intestino al haber una enorme cantidad de parásitos y pueden llegar a causar la muerte.
Nematodos ancylostómidos
En este tipo de nematodos, encontramos a Ancylostoma tubaeforme y a Uncinaria stenocephala. Poseen unos garfios en su aparato bucal con los que se anclan firmemente al intestino delgado, para succionar sangre. Para ello, liberan un anticoagulante y, si hay mucha cantidad de parásitos, provocarán una hemorragia considerable, apareciendo heces de color alquitranado. Los síntomas característicos de los ancylostómidos son:
- Anemia.
- Debilidad.
- La muerte: solo si el gatito está muy parasitado.
Su tamaño es minúsculo en comparación con los ascáridos, de 0,5-1,5 cm, y la forma de contagio es trasnmamaria (al tomar leche materna), prenatal (in utero, las larvas pueden atravesar la placenta, el gatito nacerá infectado, algo que no sucede en Toxocara cati) e incluso percutánea, es decir, al pisar el gato superficies con larvas infectivas.
El ciclo biológico es el mismo que para Toxocara cati, salvo que éste no puede atravesar la placenta y su tratamiento, también es el mismo. Podemos encontrar hospedadores paraténicos: roedores, pájaros, lombrices, escarabajos... Los huevos con larvas infectivas son un poco menos resistentes que los de ascáridos en el medio ambiente, pero en condiciones de humedad alta y temperaturas suaves, son estables.
¿Un gatito cachorro se puede contagiar?
No es lo más probable. En realidad estos ascáridos tienen muchas estrategias y la peor es la que ocurre si las larvas infectivas las ingiere una gata adulto con buen estado inmunitario. Las larvas infectivas atraviesan el intestino tras eclosionar, pero se dedican a migrar por los órganos del cuerpo del gato/a (larva migran visceral): cerebro, corazón, hígado, pulmón, músculo y glándula mamaria. Allí permanecen enquistadas, en estado latente durante incluso años. El buen estado inmunitario del gato las mantiene a raya.
Pero la gestación y luego el parto, causan bajada de defensas, y las larvas "despiertan", pudiendo pasar de la glándula mamaria vía galactógena al gatito. Una vez en él, no necesita hacer todos los malabares descritos antes para hacerse adulto, directamente muda a larva lV y a adulto, teniendo nuestro gatito parásitos activos y de una longitud considerable (de 3 a 15 cm) a las tres semanas de edad, solo por haber mamado.
El instinto cazador de los gatos les hace estar expuestos de forma constante a estos parásitos, pues los roedores o incluso lombrices, pueden ingerir en el ambiente huevos con larva infectiva. Esta usará la misma estrategia migrando a músculo y otros órganos en esos hospedadores, enquistándose luego y esperando a que un gato ingiera al roedor, para completar su ciclo.
El roedor actúa en este caso de "hospedador paraténico", el ciclo se detiene en él, sirve solamente de vehículo. Para colmo, los huevos de los ascáridos son bastante resistentes en ambiente, pudiendo permanecer meses estables si hay condiciones de humedad y temperatura aceptables. Los suelos porosos son ideales, como por ejemplo la arena.
Tratamiento de los nematodos en gatos
Estos tipos de parásitos de gatos se combaten con la milbemicina oxima (en pastilla), que es un producto ideal para adultos, o incluso la selamectina (en pipeta), pero en gatitos de entre 3 semanas a tres meses, lo ideal es usar un albendazol o fenbendazol (en suspensión) varios días, ya que su acción lenta pero segura hace que se deshagan poco a poco de los parásitos y no obstruyan en intestino.
Deberían desparasitarse cada dos semanas desde las tres semanas de vida hasta lo tres meses de edad y cada mes hasta que tengan seis meses. Las sales tipo pomoato de pirantel o febantel son algo menos efectivas, pero en dosis adecuada puede cubrir bastante bien ascáridos.
Lo ideal sería continuar con desparasitaciones cada tres meses a partir de los seis meses, o más regularmente si hay niños y el gato sale al exterior, pero también puede que nuestro veterinario opte por hacer flotación de heces cada cierto tiempo y desparasitar en caso de observar huevos de ascáridos.
Cestodos en gatos o gusanos planos
Siguiendo con los parásitos intestinales en gatos llega otro gran grupo importante, el de los gusanos planos, que incluye también a las famosas tenias. A continuación mencionaremos los más destacados:
Tenia canina
La tenia canina (Dipylidium caninum), que también puede afectar a gatos, necesita un hospedador intermediario para completar su ciclo biológico (indirecto). Suele transmitirse mediante las pulgas en los gatos, principalmente, aunque también puede transmitirse mediante los piojos en los gatos.
No observaremos una sintomatología muy evidente, exceptuando las proglotis grávidas en las heces y ano del animal o algo de prurito anal. Se trata con praziquantel, siendo necesario eliminar a los hospedadores intermediarios.
Descubre más sobre la tenia canina en nuestro artículo sobre la Tenia en gatos, síntomas, contagio y tratamiento.
Género taenia
Taenia taeniformes es el más importante, es otro cestodo que puede parasitar a nuestro gato mediante la ingestión de hospedadores intermediarios infectados, en este caso roedores. No suele dar síntomas, tal vez picor en ano, por lo que nos encontraríamos con la presencia de parásitos en el ano del gato, distensión abdominal, pelaje poco lustroso o ralo.. Y, por supuesto, la observación de proglotis grávidas en heces.
Género Echinococcus
Echinococcus granulosus es poco frecuente en gatos, pero es interesante mencionarlo por la importancia que tiene como responsable de una conocida enfermedad en el hombre, el quiste hidatídico. El gato, no obstante, es un hospedador muy poco probable, reportado en muy pocos casos, siendo el perro y el zorro los hospedadores más destacados.
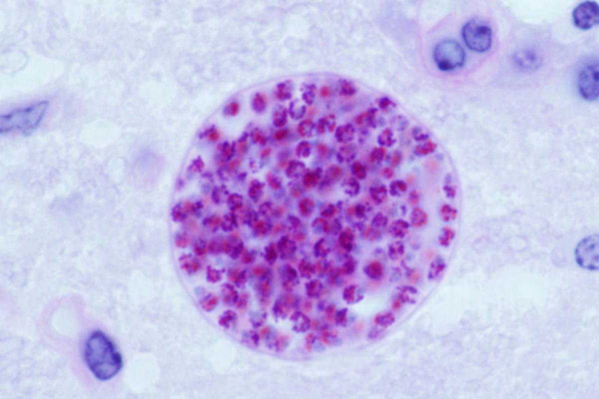
Parásitos microscópicos intestinales en gatos
Existen otros parásitos que pueden afectar a gatos, sobre todo en colectividades (criaderos, albergues, colonias o refugios, por ejemplo). Los más destacables son los protozoos, de entre los cuales cabe mencionar:
Giardias
La giardiasis en gatos se debe a un protozoo flagelado que da lugar a una sintomatología que varía desde una diarrea intermitente, con algo de moco y una gotita de sangre fresca, a un estado general de salud bueno o a una ausencia total de síntomas.
Prospera en ambientes húmedos, y el contagio es por vía oro-fecal, siendo importante la limpieza, desinfección y el secado de superficies en estas colectividades. El tratamiento consiste en aplicar cinco días fenbendazol o uso de metronidazol en un período de tiempo algo más largo. Éste último es un antibiótico con capacidad antiprotozoaria.
Coccidios Apicomplexa
Son otro tipo de protozoos, como la Giardia pero sin flagelos. Dentro de los coccidios encontramos el género Isospora spp que afecta sobre todo a gatitos jóvenes de agrupaciones felinas, dando lugar a:
- Diarreas de color amarillento.
- Retrasos en el crecimiento.
- Pelaje áspero y sin brillo.
- Distensión abdominal.
Por lo general los cuadros graves se deben a que hay coinfección con bacterias y es frecuente encontrar infecciones asintomáticas que autolimitan. Se diagnostican por estudio coprológico (se observan los ooquistes en heces), pero a veces hay falsos negativos y es necesario usar técnicas de detección laboratorial. El tratamiento consiste en sulfonamidas (antibióticos con actividad contra protozoos) durante 5-7 días o bien el uso de diclazuril o toltrazuril en dosis única, un fármaco no registrado para felinos pero que se suele emplear.
Si quieres saber más sobre la Coccidiosis en gatos, síntomas y tratamiento, no dudes en consultar el siguiente artículo de ExpertoAnimal.
Toxoplasmosis
El género toxoplasma tiene como único representante a Toxoplasma gondii, otro tipo de coccidio, tristemente famoso. El gato y otros felinos son el único hospedador definitivo de la toxoplasmosis en gatos (en el gato, tiene lugar su reproducción sexual). El felino se infecta al ingerir carne de reservorios infectados con los ooquistes del parásito, particularmente, roedores.
Aunque lo englobemos dentro de parásitos intestinales, puede originar sintomatología muy variada, y generalmente no suele ser aguda:
- Anorexia.
- Fiebre.
- Apatía.
- Síntomas neurológicos.
- Lesiones oculares.
- Disnea.
Mostrará síntomas leves e intermitentes, que despistan de forma habitual. La infección in utero suele ser letal. Lo más habitual es que la coinfección con virus de la leucemia felina o la inmunodeficiencia felina de lugar a la sintomatología de toxoplasmosis.
El tratamiento adecuado se basa en el uso de clindamicina durante 4 semanas, dos veces al día, y las recaídas son frecuentes. Diagnosticarla por análisis coprológico es poco preciso ya que el gato infectado elimina los huevos (ooquistes) de forma intermitente y errática, así de que determinar anticuerpos en sangre por métodos específicos es lo indicado, junto con la aparición de síntomas clínicos que orienten hacia este protozoo.
Evitar que nuestro gato ingiera carne cruda, o acceda a roedores, es la forma de evitar el contagio. No es común la infección de los gatos mediante la ingesta de ooquistes esporulados en ambiente (sí nos contagiamos los humanos por no lavar las verduras, por ejemplo), ya que éstos se encuentran en las heces de otros gatos, y los felinos no son dados a la coprofagia.
Acudir de forma regular al veterinario será fundamental para saber si un gato tiene toxoplasmosis es muy importante en mujeres embarazadas, ya que puede afectar al feto. No obstante, si nos abstenemos de manipular las heces es muy complicada su transmisión.
Prevención contra parásitos microscópicos en gatos
La formación del personal de las colectividades en cuanto a medidas de desinfección y limpieza se refiere, es clave para evitar reinfecciones, pues los gatitos tratados pueden eliminar ooquistes durante bastante tiempo aunque hayan superado el episodio diarreico, pudiendo provocar una nueva infección en sus congéneres.
¿Cómo desparasitar a un gato?
Ahora que ya conoces los parásitos intestinales más frecuentes entenderás por qué es tan importante desparasitar de forma regular a los felinos, interna y externamente. Pero además, si sospechas que tu gato sufre una infestación generalizada, será muy recomendable acudir al veterinario para determinar qué tipo de parásito le está afectando y cuál será el tratamiento más conveniente para eliminarlo de forma definitiva.
Eso sí, cabe señalar que eliminar los parásitos intestinales en gatos no siempre es sencillo, pues como habrás visto en los apartados anteriores, en algunos casos se requiere un tratamiento periódico, para evitar recaídas, en los que deberemos administrar fármacos o antihelmínticos específicos regularmente.
Existen muchos medicamentos para parásitos intestinales en gatos, sin embargo, no todos resultan efectivos cuando ya se ha producido una infestación generalizada, por ello, te aconsejamos evitar por completo los que no tienen estudios que avalen su eficacia, que generalmente podemos encontrar en supermercados y comercios no especializados. Apostaremos siempre por productos efectivos de venta en clínicas veterinarias.
Remedios caseros para los parásitos intestinales en gatos
En la red podemos encontrar un sinfín de trucos y remedios caseros para eliminar parásitos intestinales en gatos, sin embargo, los remedios naturales suelen utilizarse para prevenir su aparición, no para tratarlos una vez ya están presentes en el organismo del felino. Por ello, no aconsejamos utilizar remedios caseros para desparasitar internamente a los gatos, especialmente cuando hablamos de una gran cantidad de parásitos.
En el caso de querer prevenir su aparición con remedios naturales, se aconseja contactar con un veterinario naturópata u holístico, quien nos podrá asesorar de forma efectiva y sin poner en riesgo la salud de nuestro animal.
¿Los parásitos intestinales se contagian a humanos?
Para terminar, es posible que te preguntes si los nematodos, los cestodos o las tenias pueden afectar a los humanos, ¿cierto? Pues bien, debes saber que sí, los parásitos intestinales en gatos se contagian a humanos y pueden ser especialmente molestos y dañinos, en especial para los niños pequeños.
- Los Toxocara cati y canis: pueden provocar en humanos una infección al ingerir accidentalmente huevos con una larva infectiva, resultando una larva migrans visceral, que puede llegar al ojo. Es muy necesario tener precaución con los niños y seguir correctamente la desparasitación para prevenirlo.
- Los cestodos: como el Dipilydium caninum, pueden afectar al hombre si ingiere accidentalmente los hospedadores intermediarios, como pulgas o piojos en el caso de los niños.
No dudes en echarle un vistazo a este artículo de ExpertoAnimal sobre las Enfermedades que transmiten los gatos y sus síntomas.
Este artículo es meramente informativo, en ExpertoAnimal.com no tenemos facultad para recetar tratamientos veterinarios ni realizar ningún tipo de diagnóstico. Te invitamos a que lleves a tu mascota al veterinario en el caso de que presente cualquier tipo de condición o malestar.
Si deseas leer más artículos parecidos a Parásitos intestinales en gatos - Síntomas y tratamiento, te recomendamos que entres en nuestra categoría de Enfermedades parasitarias.
- Andrew S. Peregrine BVMS, PhD, DVM, DEVPC, DACVM, Departamento de Patobiología, Colegio de Veterinarios de Ontario, Universidad de Guelph, Guelph, Ontario, Canadá. Gastrointestinal Parasites of Cats. 18.07.2019, de Merck Veterinary Manual Sitio web: https://www.merckvetmanual.com/cat-owners/digestive-disorders-of-cats/gastrointestinal-parasites-of-cats?query=%20intestinal%20parasites

Buenos días. Mi gato bebe (lo recogí de la calle, el 18 de abril de este año) esta flaquisimo y super barrigón y con el ano hinchado, pero igualmente activo, come muchísimo y juguetón. El sábado le di 3 gotas de un desparasitante (se llama Trisak) en la mañana, salí y llegue a las 3 pm tenia en la caja de arena los parásitos que vera en la foto. Le volví a dar el domingo y no ha expulsado mas, pero aun sigue hinchado y haciendo heces blancas. No he podido llevarlo al veterinario porque por la cuarentena trabajan de lunes a viernes en horario reducido (y solo algunos trabajan). Dígame por favor que me recomienda, y como se llama es el parásito de la foto?. Mi correo es karlag1984@gmail.com
Mi gato de 6 meses le salen paraditos blancos de 1 cm de su ano ,quisiera saber q hacer para eliminarlos por completo ,e preocupa xk el gato duerme con mi hijo de 7 años y son muy apegados
¡Gracias por tan buenos consejos! Seguiré al pie de la letra y comentaré resultados. Esta es Leia, mi gatita de 4 años.