Colapso traqueal en gatos - Causas, síntomas y tratamiento
Ver fichas de Gatos
El colapso traqueal no es más que un aplanamiento de la tráquea, generalmente dorso ventral que puede afectar a la tráquea localizada en el cuello (tráquea cervical) o la parte de la tráquea dentro de la cavidad torácica del felino (tráquea torácica). Este aplanamiento provoca que la tráquea se estreche en la respiración y, por tanto, el aire tenga mayores dificultades para pasar, dificultando la respiración de los gatos afectados. En ocasiones, el colapso traqueal puede aparecer junto a colapso laríngeo o bronquial (aplanamiento de la laringe o los bronquios, respectivamente).
Si quieres conocer más información sobre el colapso traqueal en los gatos, sus causas, síntomas y tratamiento, continúa leyendo este artículo de ExpertoAnimal.
¿Qué es un colapso traqueal?
Se denomina colapso traqueal al aplanamiento o estrechamiento de la tráquea que se produce de arriba abajo generalmente, es decir, dorso ventralmente, lo que dificulta el correcto paso del aire hacia el pulmón, repercutiendo en una fisiológica respiración. Se trata de una enfermedad crónica, progresiva e irreversible que también puede afectar a la laringe y a los bronquios principales. Cuando el colapso es lateral generalmente es debido a un intento de tratamiento quirúrgico o a una compresión extrínseca.
La tráquea está compuesta de anillos cartilaginosos y son estos los que se debilitan y comienzan a aplanarse, haciéndose cada vez más planos hasta alcanzar el colapso, aunque también puede producirse el colapso en la membrana traqueal dorsal. Este colapso se puede extender hasta los bronquios principales (las dos ramificaciones de la tráquea que suministran directamente aire a los pulmones) lo que puede ocasionar una grave afección de las vías respiratorias del gato.
En las áreas de tráquea en las que se ha producido el colapso se produce inflamación y metaplasia en el epitelio escamoso y en la submucosa encontramos un mayor número de glándulas mucosas, vasos sanguíneos congestivos y vasos linfáticos dilatados.
A su vez, el colapso traqueal puede ser de diversos grados:
- Grado I: la tráquea es prácticamente normal, con una reducción de la luz de la misma de un 25% debido al escalamiento parcial de la membrana traqueal dorsal.
- Grado II: los cartílagos de la tráquea están algo aplastados, la membrana traqueal está oscilante y ensanchada y la luz de la tráquea está en un 50% reducida.
- Grado III: la membrana traqueal está prácticamente en contacto con la superficie dorsal de los cartílagos, que están casi aplanados y la luz de la tráquea se encuentra reducida en un 75%.
- Grado IV: la membrana dorsal está en contacto con la superficie dorsal de los cartílagos traqueales, que se encuentran aplanados y la luz de la tráquea casi totalmente obliterada.
Quizás también pueda interesarte este otro artículo sobre la Bronquitis en gatos, sus síntomas, causas y tratamiento.
Causas de colapso traqueal en gatos
El colapso traqueal en gatos no es frecuente y generalmente tiene una predisposición hereditaria debido a un defecto congénito heredado.
Las principales causas de colapso traqueal en gatos son las siguientes:
- Defectos de mineralización del cartílago traqueal: que pueden ser congénitos o adquiridos.
- Deficiencias neurológicas: como el megaesófago.
- Cambios nutricionales: pueden ser repentinos y bruscos.
- Obesidad: aquí puedes encontrar más información sobre la Obesidad en gatos, sus causas y tratamiento.
- Infecciones del aparato respiratorio: no dudes en consultar este otro post de ExpertoAnimal sobre las Enfermedades respiratorias en gatos.
- Obstrucciones de las vías aéreas.
Síntomas de colapso traqueal en gatos
Los gatos mayores, los obesos y los que viven con cuidadores que fuman tienen un mayor riesgo de presentar signos asociados a colapso traqueal. Por ello, algunos de los signos clínicos que encontramos en los gatos con estrechamiento de la tráquea pueden ser los siguientes:
- Dificultad respiratoria: también conocida como disnea.
- Estridor traqueal.
- Esfuerzo del corazón derecho: por la insuficiencia respiratoria también como por pulmonar.
- Bronconeumonía.
- Desfallecimientos o síncope.
- Sonidos sibilantes en la inspiración.
- Tos al coger al gato o al beber agua fría: no dudes en leer este post de ExpertoAnimal sobre la Tos en gatos, sus síntomas, causas y tratamiento.
- Tos seca y áspera: que se estimula fácilmente al palpar la tráquea y tiene un sonido que recuerda al graznido de un ganso.
- Intolerancia al ejercicio.
- Hepatomegalia.
- Tos o coloración azulada: tras excitación o ejercicio, aunque sea leve.
Diagnóstico de colapso traqueal en gatos
En el diagnostico de un colapso traqueal en gatos hay que realizar una anamnesis y exploración física del gato, además de analíticas, electrocardiograma y pruebas de diagnóstico por imagen.
- La analítica de sangre y la bioquímica: son pruebas básicas a realizar para determinar la salud general del gato.
- La auscultación pulmonar: donde los sonidos del pulmón pueden variar de normales a estridores o sibilancias.
- La auscultación cardíaca: donde los sonidos del corazón pueden estar normales o presentar algún soplo por desarrollo de alteración o esfuerzo cardiaco.
- El electrocardiograma: donde se mostrará un esfuerzo respiratorio crónico con una onda P prominente.
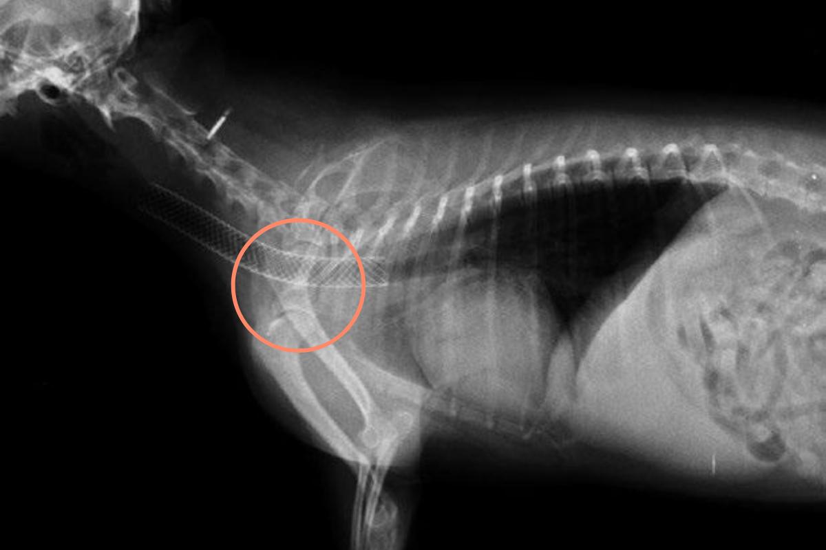
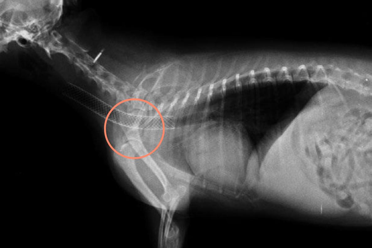
Debido a la disnea más o menos grave que pueden manifestar los gatos con colapso traqueal, las pruebas diagnósticas pueden volverse peligrosas. La mejor prueba diagnóstica para el colapso traqueal es la radiografía. Como el colapso dura tiene un intervalo de tiempo muy breve en la respiración de un gato, se deben tomar radiografías laterales de la tráquea torácica y cervical durante la inspiración y la espiración en un gato no anestesiado y si es posible, una radiografía en movimiento para detectar sí o sí el momento del colapso.
También se puede realizar una endoscopia de la tráquea para observar el interior de la tráquea y permite la obtención de muestras para su cultivo si se sospecha de infección o para estudio histopatológico.
Tratamiento para el colapso traqueal en gatos
La terapia del colapso traqueal en gatos puede ser médica o quirúrgica, siendo el primero no curativo pero que generalmente mejora la sintomatología y la calidad de vida del pequeño felino.
Tratamiento médico del colapso traqueal felino
Los principales fármacos o grupo de fármacos que se utilizan en el tratamiento sintomático del colapso traqueal felino buscan reducir los espasmos, la inflamación de las vías respiratorias y la respiración en general. Se incluyen los siguientes:
- Broncodilatadores.
- Sedantes: para reducir la ansiedad, el estrés y la tos. Lee este artículo para saber más sobre la Ansiedad en gatos, sus síntomas y tratamiento.
- Antitusígenos.
- Expectorantes.
- Antibióticos: solo si hay una infección confirmada.
- Corticoides: solo en casos de graves colapsos traqueales, asociados a broncodilatadores inhalados.
- Dieta: si hay sobrepeso u obesidad.
Hay que tener en consideración que hay que evitar que el gato esté expuesto a humo de tabaco o productos químicos irritantes en el ambiente que pueden perjudicar sus vías respiratorias. Además, hay que tener en cuenta la aplicación de un humidificador si se usan radiadores en el hogar.
Tratamiento quirúrgico del colapso traqueal felino
Aunque la gran mayoría de gatos con colapso traqueal con tratamiento de soporte mejoran, en los casos más graves o en los que el tratamiento médico no sea efectivo, se puede plantear el tratamiento mediante cirugía con tres procedimientos diferentes a elegir:
- Prótesis de anillos traqueales: colocando anillos de plástico o espirales alrededor de la parte de fuera de la tráquea
- Colocación de un stent (sonda hueca): dentro de la tráquea para mantenerla abierta.
- Condrotromía: o corte del cartílago, no siempre es efectivo.
- Resección traqueal y anastomosis.
A la mayoría de los gatos, se les da el alta a las 24 o 48 horas de la cirugía, con tratamiento médico con antibióticos, antiinflamatorios y antitusígenos.
Este artículo es meramente informativo, en ExpertoAnimal.com no tenemos facultad para recetar tratamientos veterinarios ni realizar ningún tipo de diagnóstico. Te invitamos a que lleves a tu mascota al veterinario en el caso de que presente cualquier tipo de condición o malestar.
Si deseas leer más artículos parecidos a Colapso traqueal en gatos - Causas, síntomas y tratamiento, te recomendamos que entres en nuestra categoría de Enfermedades respiratorias.
- Harvey, A., Tasker, S. (Eds). (2014). Manual de Medicina Felina. Ed. Sastre Molina, S.L. L ́Hospitalet de Llobregat, Barcelona, España.
