Toxoplasmosis en gatos - Síntomas, diagnóstico y tratamiento
Ver fichas de Gatos
La toxoplasmosis es una enfermedad causada por un parásito del grupo de los protozoos llamado Toxoplasma gondii. Este parásito afecta a muchos animales de sangre caliente, incluido el ser humano. Sin embargo, el hospedador definitivo siempre son los felinos. Generalmente no causa signos clínicos, pero cuando ocurren son como consecuencia de los procesos de necrosis que produce el parásito en diversos tejidos. Por ello, puede causar signos variados, como digestivos, respiratorios, oculares, cardiacos, cutáneos, musculares y nerviosos. En las gatas gestantes puede provocar muertes neonatales o partos prematuros y los gatitos recién nacidos con toxoplasmosis pueden morir al poco tiempo de vida.
Sigue leyendo este artículo de ExpertoAnimal para conocer más sobre la toxoplasmosis felina, sus síntomas, diagnóstico y tratamiento. Además, se incluye un apartado final en relación a la problemática frecuente entre las embarazadas que tienen gato en casa, informando sobre las medidas a tomar para evitar el riesgo de infección.
¿Qué es la toxoplasmosis en gatos?
La toxoplasmosis es una enfermedad parasitaria provocada por un protozoo llamado Toxoplasma gondii, un parásito intracelular obligado que afecta a diversos animales de sangre caliente, incluido el ser humano. Sin embargo, el hospedador definitivo del parásito es el felino, pudiendo transmitir la enfermedad por eliminación de ooquistes al medio ambiente.
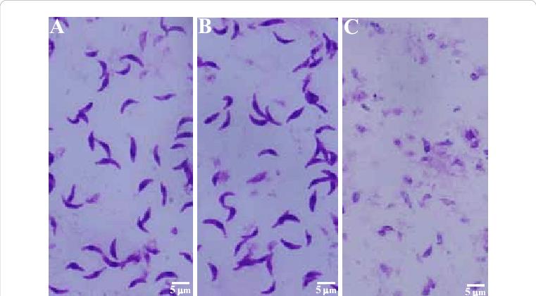
Los ooquistes son la fuente de infección del parásito y son resultado de la división sexual del parásito ocurrida en el felino infectado. Son como una especie de huevos que el parásito elimina al medio para infectar a otros animales. En el interior contienen esporozoitos, que son unos organismos móviles unicelulares con forma de media luna.
Los gatos liberan millones de ooquistes por las heces hasta 3 semanas tras la exposición al parásito, que requieren de 1 a 5 días para esporular y ser infectivos para otros animales (ooquistes esporulados).
Además de los ooquistes, podemos encontrar:
- Pseudoquistes que contienen taquizoitos (zoitos de multiplicación rápida) localizados en tejido muscular, nervioso, retina, etc.
- Quistes que contienen bradizoitos (zoitos de multiplicación lenta) localizados principalmente en la musculatura, aunque también en el sistema nervioso central u otros órganos.
Contagio de toxoplasmosis en gatos
Las vías de transmisión de la toxoplasmosis felina son las siguientes:
- Ingestión de carnes crudas infectadas o alimentos contaminados con ooquistes infectantes.
- Ingestión de alimentos o agua contaminada con ooquistes.
- Transplacentaria durante la gestación.
- Lactación.
- Transfusión sanguínea.
Ciclo de vida de Toxoplasma gondii
El ciclo de este parásito protozoo puede ser directo cuando se realiza entre gatos y se desarrolla un ciclo enteroepitelial y extraintestinal; e indirecto cuando entre gatos interviene otro animal como hospedador intermediario, desarrollándose solamente el ciclo extraintestinal.
- Ciclo enteroepitelial de Toxoplasma gondii: ocurre solo en el gato tras ingerir quistes, ya sea por ingestión de una presas, vísceras o carne cruda. Tras su ingestión, las enzimas digestivas lo rompen y salen los bradizoitos que penetran en las células intestinales donde realizan una división sexual y forman ooquistes no esporulados que eliminarán por las heces. Este ciclo también puede ocurrir si ingieren pseudoquistes u ooquistes, pero no es tan rápido ni tan efectivo.
- Ciclo extraintestinal de Toxoplasma gondii: ocurre en los gatos y en los animales que se parasitan tras la ingestión de ooquistes esporulados en agua o alimentos contaminados, así como pseudoquistes o quistes. En este caso, el parásito se dirige a la lámina propia de las células intestinales donde tiene lugar una reproducción asexual dando lugar a taquizoitos que se distribuyen por diversos lugares del organismo del animal con su rápida multiplicación, provocando muerte celular (necrosis).
Síntomas de toxoplasmosis en gatos
Aunque la toxoplasmosis en gatos suele ser asintomática, es decir, no produce síntomas en los felinos, en ocasiones puede causar sintomatología, especialmente en los gatos afectados por primera vez o tras reactivaciones de la latencia del parásito.
Dependiendo de hacia dónde se dirija el parásito, los signos clínicos variarán. Así pues, podemos dividir la sintomatología dependiendo del lugar de acción, de manera que podemos encontrar signos digestivos, oculares, respiratorios, cardiacos, nerviosos, cutáneos y en musculatura. A continuación, te ayudamos a descubrir cómo saber si un gato tiene toxoplasmosis mediante la sintomatología:
Signos digestivos
En estos casos, toxoplasma se dirige a órganos digestivos como el hígado, estómago, páncreas e intestino, pudiendo causar signos clínicos como:
- Anorexia.
- Diarrea.
- Vómitos.
- Necrosis hepática y aumento del tamaño del hígado.
- Colangiohepatitis.
- Ictericia.
- Dolor abdominal.
- Efusión peritoneal y abdominal.
- Necrosis pancreática e intestinal.
Signos oculares
El ojo también puede ser invadido por la toxoplasmosis en los gatos, donde ataca a la retina, úvea y nervio óptico, dando síntomas como:
- Uveítis anterior y posterior.
- Vasculitis.
- Neuritis del nervio óptico.
- Coriorretinitis.
- Iridociclitis.
- Glaucoma.
- Menor respuesta pupilar a los reflejos.
Cuando solo aparece toxoplasmosis ocular, sin ningún otro signo de afectación de otros órganos, puede ser indicativo de una inmunosupresión y reactivación del parásito.
Signos respiratorios
Cuando el parásito se dirige al pulmón, puede causar neumonía con:
- Fiebre.
- Dificultad respiratoria.
- Derrame pleural.
- Aumento de la frecuencia respiratoria (taquipnea).
Signos cardíacos
Cuando se multiplica en las células del corazón, da lugar a una insuficiencia miocárdica que con el tiempo dará lugar a una cardiomiopatía dilatada y a signos de insuficiencia cardíaca, como taquicardia, taquipnea y derrame pleural con grave insuficiencia respiratoria, depresión y colapso.
Signos nerviosos
En más del 95 % de gatos con toxoplasmosis se producen síntomas neurológicos como:
- Convulsiones.
- Temblores.
- Ataxia.
- Alteraciones comportamentales.
- Paresia.
- Estupor.
- Signos cerebelares o del aparato vestibular.
- Ceguera parcial o total.
- Marcha en círculos.
De la misma forma que en la toxoplasmosis ocular, la toxoplasmosis en gatos con síntomas neurológicos sin ningún otro signo clínico suele aparecer como reactivación de la enfermedad. Esto es debido a que el sistema nervioso central es el tejido donde se encuentra latente el parásito en mayor proporción.
Signos cutáneos
A veces puede afectar a la piel, dando lugar a nódulos firmes en las extremidades debido a una dermatitis piogranulomatosa nodular. También se produce vasculitis y dermatitis necrotizante.
Signos musculares
Cuando el parásito se dirige a la musculatura del gato, causa los siguientes signos clínicos:
- Rigidez.
- Atrofia de la musculatura.
- Marcha alterada.
- Dolor muscular.
- Ventroflexión del cuello por polimiositis.
- Polimiositis y polirradiculoneuritis que causan paraparesia o paraplejía espástica.
Toxoplasmosis en gatas gestantes y gatitos
Cuando una gata gestante se infecta por Toxoplasma gondii, no ha sido expuesta con anterioridad a este parásito y, por tanto, no tiene anticuerpos, la infección puede causar partos prematuros o muertes en los gatitos recién nacidos.
Por otro lado, tienen más riesgo de producir una toxoplasmosis grave los gatitos recién nacidos que se contagiaron por vía transplacentaria o en la lactación, pudiendo nacer muertos o morir en los primeros días de vida. En otros casos, cuando nacen parecen sanos, pero posteriormente desarrollan depresión, hipotermia, letargia, maullidos muy frecuentes, encefalitis y en algunos casos, muerte.
Los que sobreviven, se mantienen como portadores latentes, pudiendo reactivarse la infección ante ciertas condiciones estresantes e inmunosupresoras, causando frecuentemente toxoplasmosis nerviosa u ocular.
Diagnóstico de la toxoplasmosis en gatos
El diagnóstico de la toxoplasmosis felina es complejo, requiriendo de varias pruebas para completarlo. Dichas pruebas incluyen un análisis de sangre, diagnóstico por imagen, pruebas serológicas y moleculares.
- Análisis de sangre: en la bioquímica sanguínea, durante la fase aguda de la enfermedad, se pueden observar aumentos de fosfatasa alcalina, ALT y bilirrubina en gatos con afectación hepática, aumentos de la creatinacinasa (CK) en casos de necrosis muscular y fPLI elevada en casos de pancreatitis por necrosis pancreática.
- Radiografía torácica: cuando hay signos pulmonares se puede observar un patrón alveolar difuso e intersticial en el pulmón o efusión pleural leve.
- Radiografía abdominal: aumento del tamaño del hígado y ascitis.
- Ecografía: permite una mejor visualización de los órganos abdominales y de sus lesiones parenquimatosas.
- Tomografía computarizada o resonancia magnética para la detección de lesiones en sistema nervioso central.
- Pruebas serológicas: como ELISA para la detección de inmunoglobulinas (anticuerpos) G y M (IgG e IgM). Cuando se ve un aumento de ambos en un gato con síntomas, indica infección activa o reactivación. Si solo está aumentada la IgG en un gato sano, tiene toxoplasmosis latente.
- PCR para Toxoplasma gondii: es la prueba más específica para realizar el diagnóstico. Las muestras pueden ser de sangre o de humor acuoso ocular, líquido cefalorraquídeo o cerebro. Sin embargo, al detectar el material genético, no diferencia de una enfermedad activa de una latente, simplemente que es positivo a toxoplasma.
- Biopsia: es la prueba que confirma el diagnóstico, aunque es la más invasiva. Demuestra la presencia del parásito en las células.
¿Cómo eliminar la toxoplasmosis en gatos? - Tratamiento
El tratamiento para la toxoplasmosis en gatos se basa en una terapia sintomática y farmacológica con antibióticos que inhibirán la multiplicación del toxoplasma, pero no su muerte.
A día de hoy, el antibiótico de elección es la clindamicina a dosis de 12,5 mg/kg cada 12 horas durante un mes, aplicada por vía intramuscular u oral. Este tratamiento resuelve la sintomatología del gato a las 24-48 horas del comienzo, pero no es eficaz cuando las lesiones en el sistema nervioso central son permanentes. Así mismo, tarda más tiempo en resolver la atrofia muscular y la polimiositis en casos de toxoplasmosis muscular.
En gatos con toxoplasmosis neurológica se emplea trimetoprim-sulfonamida o doxiciclina durante 1 mes, por poder atravesar la barrera hematoencefálica.
La uveítis en casos de toxoplasmosis pulmonar se trata con corticoides tópicos, sistémicos o antiinflamatorios no esteroideos durante al menos 1 mes y fármacos ciclopléjicos como la atropina o tropicamida. Estos últimos no deben utilizarse en casos de glaucoma por aumentar la presión intraocular que agravaría el proceso y usar dorzolamida o brinzolamida 3 veces al día.
Toxoplasmosis en gatos y embarazo
La preocupación y la falta de información sobre la toxoplasmosis felina y el embarazo de la mujer es un problema frecuente aún a día de hoy. Tener un gato en casa y estar embarazada no son incompatibles, simplemente se deben establecer unas medidas higiénicas preventivas para evitar los riesgos que, aunque son bajos o casi inexistentes, pueden ocurrir.
A continuación, damos toda la información para que no te engañen y mucho menos te hagan evitar estar con tu compañero felino en este proceso tan especial. Las medidas preventivas que deben tener las embarazadas a la hora de la alimentación y la manipulación del arenero de los gatos son:
- Evitar la ingestión de carne cruda y embutidos por poder estar contaminados con ooquistes de Toxoplasma gondii.
- No ingerir frutas y verduras sin lavar por poder estar contaminadas por ooquistes.
- Limpiar y manipular el arenero del gato con guantes y lavarse las manos después, o, si se puede, pedir que lo haga otro miembro de la familia. Las heces son la fuente de infección de los ooquistes felinos por liberarlos y esporular en las mismas entre 24 horas y 5 días después.
Como vemos, el contagio no se produce por acariciar o estar en contacto con un gato casero, sino que los parásitos necesitan estar unas horas en un sustrato como alimentos o heces del gato para ser infectivos y transmitir la enfermedad.
De todas formas, muchas mujeres tienen anticuerpos de Toxoplasma gondii por haber tenido contacto estrecho con gatos de exterior desde su infancia, por lo que tendrían defensa. Aún así, es recomendable tomar siempre las medidas higiénicas para evitar abortos, fallos en el crecimiento o en la formación y problemas en el futuro bebé.
Cómo evitar la toxoplasmosis en gatos
La infección por toxoplasmosis en nuestros gatos se puede evitar si se toman las siguientes medidas:
- Se debe impedir que cacen si son gatos que salen al exterior.
- Se ha de evitar que beban de lugares no controlados o sucios.
- Es recomendable no darles carne cruda ni poco cocinada. Si se les quiere dar carne, esta debe ser cocinada a 60 ºC durante 10 minutos o congelada a -20ºC.
- Es aconsejable alimentarles con comida comercializada para gatos. En caso de querer establecer una dieta BARF, se deberán tener en cuenta las medidas anteriores o adquirir el alimento de marcas que se dedican a la preparación de estas dietas.
- Se debe evitar que coman embutidos o vegetales.
En caso de querer que tu gato disfrute de una alimentación casera, no te pierdas este vídeo para mantener a raya la toxoplasmosis felina:
Este artículo es meramente informativo, en ExpertoAnimal.com no tenemos facultad para recetar tratamientos veterinarios ni realizar ningún tipo de diagnóstico. Te invitamos a que lleves a tu mascota al veterinario en el caso de que presente cualquier tipo de condición o malestar.
Si deseas leer más artículos parecidos a Toxoplasmosis en gatos - Síntomas, diagnóstico y tratamiento, te recomendamos que entres en nuestra categoría de Enfermedades parasitarias.
- Palmero, V. Carballés. (2010). Enfermedades infecciosas felinas. Ed. Servet. Zaragoza, España.
- GEMFE. Toxoplasmosis en gatos y humanos. Disponible en: https://www.avepa.org/articulos/Toxoplasmosis.
- M.L Palmero. Toxoplasmosis, diagnóstico y consideraciones para la salud pública. Disponible en: https://www.gattos.net/images/Publicaciones/Marisa/ArticulosNuevos/9AToxoplasmosisDiagnosticoyconsideracionesparalasaludpublica.pdftml

mi madre esta teniendo problemas con la vista y los doctores dicen que es por el paracito de toxoplasma y tenemos un gato que es adoptada y el medico dice que ella lo causo y que puede hacer q mi hermana y yo seamos esteriles o que tengamos muchos problemas en el fututo si aun la tenemos ,ahora mi mama piensa enviarla a otro lado donde sea "libre", pero yo no quiero por que no quiero que sufra, yo la quiero mucho y no creo que nos haga daño por tanto que he leido, quisiera saber si ella es un peligro? podemos vivir con un gato que tenga toxoplasmosis?