Tumor venéreo transmisible en perros (TVT) - Síntomas y tratamiento
Ver fichas de Perros
El tumor venéreo transmisible en perros puede afectar tanto a machos como a hembras, aunque se observa una mayor incidencia entre aquellos individuos que presentan actividad sexual. Por ello, antes de explicar los síntomas de esta enfermedad y su tratamiento, debemos tener en cuenta la importancia de la esterilización o castración para evitar buena parte de los contagios y de las revisiones veterinarias periódicas con el objetivo de detectar precozmente cualquier tumor.
A continuación, en este artículo de ExpertoAnimal te hablaremos sobre el tumor venéreo transmisible en perros (TVT), sus síntomas y tratamiento. Recuerda que la atención veterinaria en esta patología es imprescindible.
¿Qué es el TVT en perros?
TVT son las siglas de tumor venéreo transmisible en perros. Se trata de un cáncer en los perros que aparece en el aparato genital tanto del macho como de la hembra, aunque también es posible encontrarlo en otras partes del cuerpo como el periné, la cara, la boca, la lengua, los ojos, la nariz o las patas. Es una neoplasia, por fortuna, no muy frecuente. Será el profesional veterinario quien establezca el adecuado diagnóstico diferencial.
La forma de contagio más habitual es la vía sexual, por eso es más habitual que este tumor se presente en animales enteros a los que se les permite vagar sin control, de forma que pueden producirse acoplamientos, o en aquellos que se encuentran abandonados.
Las pequeñas lesiones que se producen en la mucosa de pene y vagina durante la cópula sirven de vía de entrada para las células tumorales. La transmisión también se puede dar a través de lametones, arañazos o mordiscos. Se considera un cáncer de baja intensidad aunque, en algunos casos, sí puede producirse metástasis.
Estos tumores pueden mantenerse hasta varios meses en período de incubación tras el contagio antes de observarse como masas que van creciendo, pudiendo extenderse al escroto, el ano o incluso órganos como el hígado o el bazo. Se han encontrado casos en todo el mundo, estando más presente en climas cálidos o templados.
Síntomas del tumor venéreo transmisible en perros (TVT)
Podemos sospechar la presencia de tumor transmisible en perros si encontramos inflamaciones o lesiones en pene, vagina o vulva. Estas pueden verse como bultos en forma de coliflor o nódulos como con un tallo. Estos pueden ulcerarse y presentarse como tumores solitarios o múltiples.
También se dan síntomas como el sangrado no asociado a la micción, aunque el cuidador puede confundirlo con hematuria, es decir, la aparición de sangre en la orina. Eso sí, si el TVT llega a obstruir la uretra se producirían dificultades para orinar. En la hembra un sangrado podría confundirse con el período de celo, por lo tanto, si vemos que este se alarga es recomendable que contactemos con nuestro veterinario.
Diagnóstico del tumor venéreo transmisible en perros (TVT)
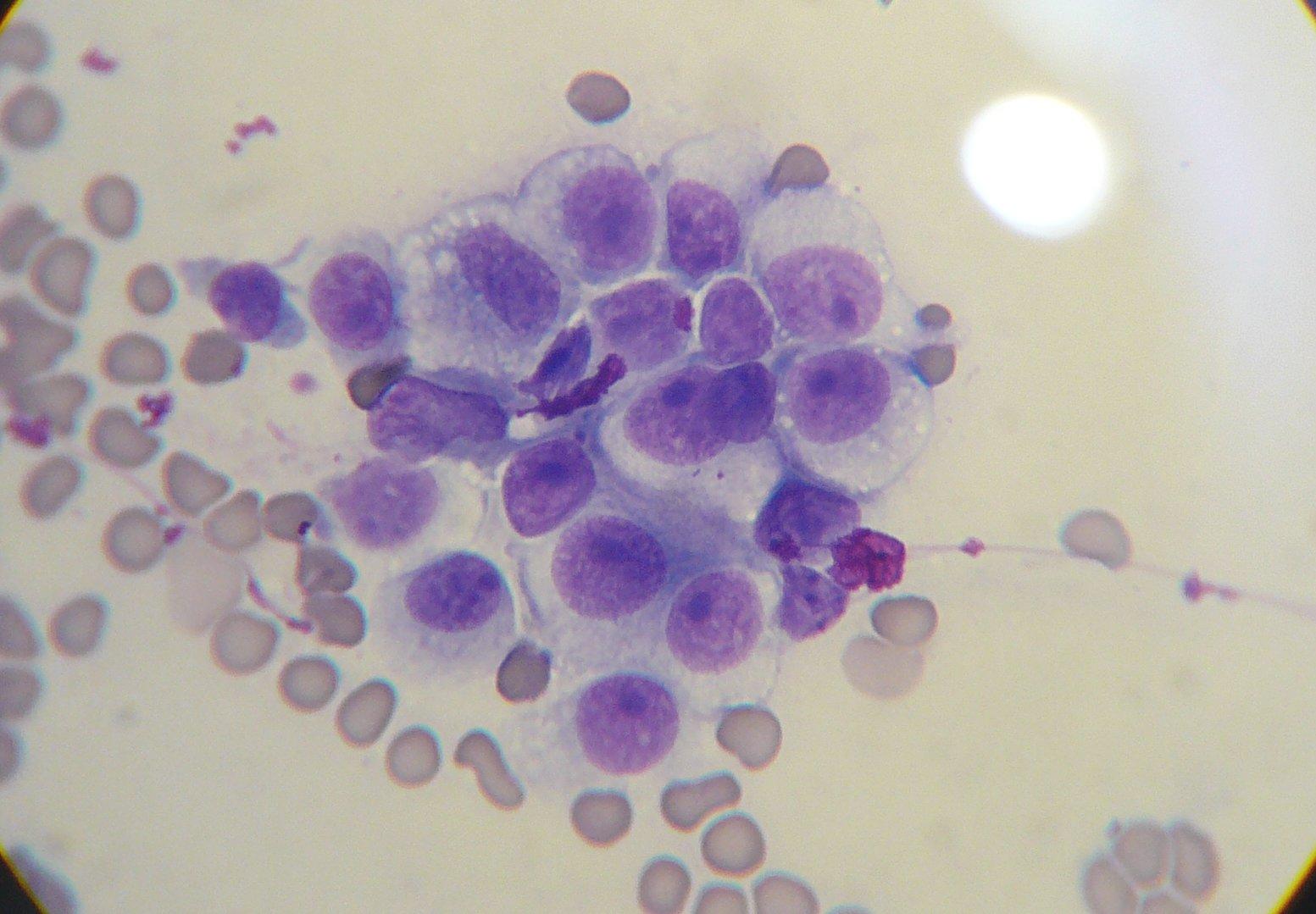
De nuevo, será este profesional quien llegue al diagnóstico, ya que habrá que diferenciar este cuadro clínico de, por ejemplo, una posible infección de orina o un crecimiento de la próstata, en el caso de los machos. El TVT en perros se diagnostica mediante citología, para lo que se debe tomar una muestra.
Tratamiento del tumor venéreo transmisible en perros (TVT)
El tumor venéreo transmisible en perros, como hemos dicho, se considera un cáncer de baja intensidad y, gracias a ello, responde bien al tratamiento, que suele consistir en quimioterapia o, en ocasiones, radioterapia. Estos tratamientos suelen prolongarse entre 3 y 6 semanas. En el caso de la radioterapia puede ser necesaria tan solo una sesión. Se consigue la curación en la práctica totalidad de los casos.
Hay que saber que existen algunos efectos secundarios de la quimioterapia, como vómitos o depresión de la médula ósea, por lo que es importante realizar analíticas de control. La cirugía en estos casos es menos recomendable porque se asocia a fenómenos de recurrencia.
La esterilización del perro, en cambio, sí se contempla en las prácticas de prevención pues, como hemos visto, los animales enteros que vagan a su antojo son el grupo de riesgo, al presentar más oportunidades para el contagio. También están más expuestos aquellos perros que viven en albergues, refugios, protectoras, perreras o criaderos, pues en estos lugares se reúnen una gran cantidad de perros, con lo que las probabilidades de contacto aumentan, con el riesgo añadido de que no se encuentren esterilizados.
Este artículo es meramente informativo, en ExpertoAnimal.com no tenemos facultad para recetar tratamientos veterinarios ni realizar ningún tipo de diagnóstico. Te invitamos a que lleves a tu mascota al veterinario en el caso de que presente cualquier tipo de condición o malestar.
Si deseas leer más artículos parecidos a Tumor venéreo transmisible en perros (TVT) - Síntomas y tratamiento, te recomendamos que entres en nuestra categoría de Otros problemas de salud.
¿Tienes contratado el Seguro de Responsabilidad Civil obligatorio para perros? Consiguelo al mejor precio rellenando el formulario con tus datos y los de tu mascota haciendo clic en este botón:
