Enfermedades más comunes del akita americano
Ficha del animal: Akita Americano
El akita americano es un perro que enamora por su gran lealtad y fidelidad, pocas razas caninas mostrarán hacia su familia humana tanta devoción como este perro, que además posee unas características físicas igualmente llamativas por su robusta estructura.
Acoger a un akita americano es una gran responsabilidad que requiere del tiempo suficiente para procurarle una adecuada educación, pero también es importante que el propietario se informe acerca de las patologías que pueden afectar más frecuentemente a esta raza, para saber cómo actuar del modo adecuado si así fuera necesario.
En este artículo de ExpertoAnimal te hablamos de las enfermedades más comunes del akita americano.
La salud del akita americano
El akita americano es un perro muy robusto y fuerte, cuya esperanza de vida media se sitúa en torno a los 9-10 años, no obstante, si le procuramos los cuidados que necesita no sólo puede ser que sobrepase esta edad, sino que disfrutará de una vejez saludable, es importante ofrecerle una buena calidad de vida.
La salud del akita americano también se deberá sustentar sobre una nutrición óptima, un seguimiento veterinario adecuado y la realización del suficiente ejercicio físico.
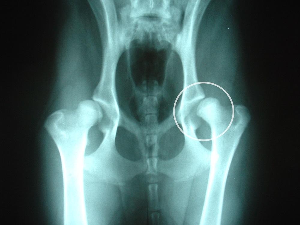
Displasia de cadera
La displasia de cadera puede afectar a cualquier perro pero especialmente a perros de raza grande. Se trata de una patología que impide el adecuado desarrollo de la articulación de la cadera durante el crecimiento, ésta se desplaza hacia los laterales y con el tiempo afecta al movimiento.
A causa de esta malformación el perro tendrá dificultad en realizar sus actividades cotidianas, experimentando dolor y en ocasiones cojera. Se trata de una enfermedad hereditaria por lo tanto es importante que en el criadero te expidan un certificado conforme a que los padres del ejemplar que adoptas no padecen esta patología.
Para evitar que el akita americano desarrolle displasia de cadera es importante que evite los movimientos y ejercicios bruscos hasta alcanzar el año de edad. No obstante, una vez nuestro perro desarrolle esta enfermedad debe seguir ejercitándose para evitar la atrofia muscular
Eccemas
Debido al pelaje del akita americano esta raza es propensa a sufrir eccemas, es decir, una inflamación de la piel o dermatitis caracterizada por un picor intenso. Durante la época de muda nuestro akita es más susceptible frente a esta afección cutánea, pero podemos prevenirlo de forma sencilla si cepillamos su pelaje diariamente durante el otoño y la primavera.
Además, de este modo en el caso de observar anomalías en su piel podremos tratarlo rápidamente con la ayuda de antiinflamatorios tópicos que siempre deben ser prescritos por el veterinario. Un tratamiento rápido del eccema garantizará una muda de pelo normal y sin complicaciones.
Torsión de estómago
La torsión de estómago afecta con mayor frecuencia a perros grandes y de raza, siendo sus consecuencias fatales si no se trata a tiempo, ya que la tasa de mortalidad en perros no tratados es del 100 % y en perros tratados del 38 %.
La torsión se sufre cuando el estómago se dilatada debido a la acumulación de gases, entonces los ligamentos que lo sujetan falla y se produce una torsión en el intestino que bloquea el riego sanguíneo.
Lo cierto es que podemos prevenir levemente una torsión de estómago cuidando las tomas de alimentación de nuestro perro: no debes ofrecerle nunca alimento antes del paseo, sino después. Procurar una dieta de calidad, que coma de forma pausada son otros
Los síntomas que muestra un perro con torsión de estómago son los siguientes:
- El perro está inquieto, mira hacia el suelo o bien hacia su estómago
- Dolor e inflamación en la zona abdominal, que suena como un tambor si es percutida
- Náuseas con imposibilidad de vomitar
Si sospechamos que nuestro perro padece esta afección debemos acudir urgentemente al veterinario, ya que cuanto antes reciba atención, más altas serán las posibilidades de que sobreviva.
Este artículo es meramente informativo, en ExpertoAnimal.com no tenemos facultad para recetar tratamientos veterinarios ni realizar ningún tipo de diagnóstico. Te invitamos a que lleves a tu mascota al veterinario en el caso de que presente cualquier tipo de condición o malestar.
Si deseas leer más artículos parecidos a Enfermedades más comunes del akita americano, te recomendamos que entres en nuestra categoría de Prevención.
¿Tienes contratado el Seguro de Responsabilidad Civil obligatorio para perros? Consiguelo al mejor precio rellenando el formulario con tus datos y los de tu mascota haciendo clic en este botón:

Con problemas de escabiosis e inflamacion de las articulaciones