Estomatitis en perros - Causas y tratamiento
Ver fichas de Perros
La estomatitis consiste en la inflamación de la mucosa bucal, las encías y la lengua. Puede tener múltiples causas y de un correcto diagnóstico dependerá dar con el tratamiento adecuado, aunque, como veremos, su resolución puede ser complicada.
En este artículo de ExpertoAnimal explicaremos los síntomas de la estomatitis en perros. Si reconocemos alguno debemos acudir al veterinario, ya que se trata de una enfermedad muy dolorosa y con graves repercusiones para la calidad de vida del perro.
Causas de la estomatitis en perros
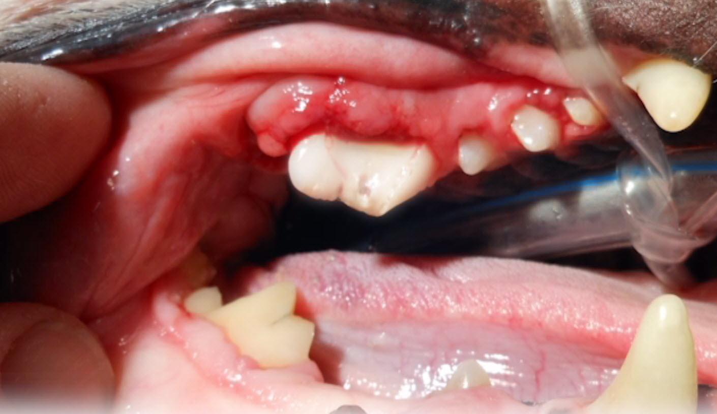
Como hemos dicho, la estomatitis es la inflamación de la mucosa bucal y normalmente afecta también a las encías (gingivitis) y a la lengua (glositis), lo que produce mucho dolor.
Algunas de las causas de la estomatitis son:
- Enfermedad periodontal, que puede originar estomatitis ulcerativa paradental crónica en los perros. Estas enfermedades afectan al soporte del diente.
- Cuerpos extraños, como huesos, que se quedan alojados entre los dientes.
- Laceraciones o quemaduras causadas por agentes irritantes, como la oruga procesionaria del pino, responsable de glositis.
- Tóxicos o fármacos.
- Enfermedades sistémicas como la diabetes, el hipotiroidismo, la leptospirosis, el moquillo, enfermedades autoinmunes como el pénfigo o el lupus o la enfermedad renal, causante de estomatitis urémica en perros.
- Infecciones, que pueden estar originadas por hongos como la Candida albicans, responsable de estomatitis micótica en perros, especialmente en aquellos que se encuentran debilitados por otras enfermedades, la edad o el consumo prolongado de corticoides que afectan al sistema inmunitario o de antibióticos que modifican el equilibrio bacteriano del organismo. Se caracteriza por manchas blancas.
- Enfermedades carenciales como las avitaminosis. La falta de nutrientes adecuados podrían estar detrás de la estomatitis, pero son enfermedades muy extrañas hoy en día.
- Enfermedades genéticas y neoplasias.
Síntomas de estomatitis en perros
Si nuestro perro padece estomatitis observaremos síntomas como los siguientes:
- Hipersalivación
- Mal aliento
- Imposibilidad de comer debido al dolor e incluso de beber, lo que podría causar deshidratación
- Dificultades a la hora de tragar
- Resistencia a que le manipulen la boca, también por el dolor
- Si podemos ver la cavidad bucal, estará enrojecida, inflamada o, en los casos más graves, ulcerada
- Al tocar podría producirse sangrado
- El perro puede frotarse el hocico contra objetos o con las patas en un intento de aliviarse
Diagnóstico de la estomatitis en perros
Nuestro veterinario nos preguntará por el historial del perro, por si la estomatitis es causa del contacto con alguna sustancia irritante o un fármaco. Si se desconoce, es posible hacer una analítica de sangre para buscar enfermedades sistémicas.
A la hora de explorarle la boca es probable que sea necesario sedarlo, debido al dolor que sentirá. Pueden hacerse frotis, cultivos o biopsias del interior de la cavidad oral si es necesario e incluso radiografías, dependiendo de los síntomas. Nos interesa establecer un diagnóstico ya que de ello dependerá el tratamiento y el pronóstico.
Tipos específicos de estomatitis en perros
Ya hemos mencionado algunos y en este apartado añadiremos los siguientes:
- Estomatitis ulcerativa necrosante en perros: la mencionamos por el dolor extremo que provoca. La causan bacterias y produce mal olor bucal intenso, saliva purulenta y encías sangrantes. Es un caso grave en el que se pueden observar úlceras. La puede originar la enfermedad periodontal.
- Gingivoestomatitis linfoplasmocitaria en perros (LPGS): parece que son casos con base inmunológica, poco frecuentes en perros y quizás relacionados con algunas razas. El tratamiento es complejo y el pronóstico reservado. [1]
¿Cómo tratar la estomatitis en perros?
Además de eliminar la causa en casos en los que esto sea posible, como cuando la estomatitis está provocada por un cuerpo extraño, el tratamiento suele incluir una limpieza bucal, que se hará con anestesia, para eliminar el sarro, piezas dentales afectadas, etc.
Tras este procedimiento se receta antibióticos. Se prescriben, también, lavados con soluciones desinfectantes una o dos veces al día, lo que podemos hacer empapando algodón en el líquido y frotando, suavemente, encías, dientes y cavidad bucal. También se puede utilizar una jeringa.
Es importante ofrecerle al perro una dieta blanda para facilitarle la ingesta. Si no consigue comer habrá que alimentarlo por sonda. Necesitará también medicación para controlar el dolor. Si hay hongos el veterinario prescribirá un tratamiento antifúngico. Si está presente una enfermedad sistémica hay que tratarla también.
Pueden pautarse vitaminas que ayuden a regenerar la piel. En algunos casos se emplean corticoides y se extraen las piezas dentales.
Este artículo es meramente informativo, en ExpertoAnimal.com no tenemos facultad para recetar tratamientos veterinarios ni realizar ningún tipo de diagnóstico. Te invitamos a que lleves a tu mascota al veterinario en el caso de que presente cualquier tipo de condición o malestar.
Si deseas leer más artículos parecidos a Estomatitis en perros - Causas y tratamiento, te recomendamos que entres en nuestra categoría de Otros problemas de salud.
¿Tienes contratado el Seguro de Responsabilidad Civil obligatorio para perros? Consiguelo al mejor precio rellenando el formulario con tus datos y los de tu mascota haciendo clic en este botón:
- Moreira, Roura, Lloret y Planellas (2008): "Gingivoestomatitis linfoplasmocitaria en perros: 6 casos clínicos", AVEPA, Vol. 28, nº4.

Quisiera saber que son esas masitas en la parte de la geta de mi perra