Osteosarcoma en perros - Síntomas y tratamiento
Ver fichas de Perros
En la actualidad, sabemos que los animales de compañía por excelencia, perros y gatos, son susceptibles a numerosas enfermedades que también podemos observar en el ser humano. Afortunadamente, este conocimiento cada vez mayor se debe también a una medicina veterinaria que ha evolucionado y cuenta en este momento con múltiples métodos diagnósticos y terapéuticos.
Los estudios realizados acerca de la incidencia de tumores en perros consideran de forma aproximada que 1 de cada 4 perros desarrollará algún tipo de cáncer a lo largo de su vida, de ahí la importancia de conocer este tipo de patologías, para poder diagnosticarlas y tratarlas con la mayor prontitud posible. En concreto, en este artículo de ExpertoAnimal hablaremos sobre el osteosarcoma en perros, centrándonos en sus principales síntomas, diagnóstico y tratamiento.
¿Qué es un osteosarcoma en perros?
El osteosarcoma es el tumor primario de hueso más común en los perros, de hecho, representa el 85% de los tumores primarios del esqueleto. Es necesario aclarar que, con el término “tumor primario”, nos referimos a un tipo de tumor que tiene origen en el propio hueso.
Esta distinción es importante, puesto que existen otros tumores malignos de hueso que no son primarios, sino que son metástasis óseas que aparecen como consecuencia de la diseminación de un tumor presente en otra parte del organismo.
En concreto, el osteosarcoma es un tumor maligno (es decir, un tipo de cáncer de hueso en perros), que se caracteriza por ser localmente invasivo y tener una alta tendencia a metastatizar. La tasa de metástasis es cercana al 90%, siendo el pulmón, los tejidos blandos y otros huesos los lugares más habituales en los que metastatiza. Cabe destacar que, aunque las metástasis suelen aparecer de forma temprana en el curso de la enfermedad, normalmente no generan signos clínicos, lo que complica su detección.
Generalmente, este tumor suele denominarse “osteosarcoma apendicular canino” debido a que habitualmente afecta al esqueleto apendicular, es decir, a las extremidades de los perros. En concreto, suele presentarse:
- En el caso de la extremidades anteriores: lejos del codo, es decir, en el húmero proximal o en el radio distal.
- En el caso de las extremidades posteriores: cerca de la rodilla, es decir, en el fémur distal o en la tibia proximal.
Las razas grandes y gigantes están especialmente predispuestas a padecer osteosarcomas, siendo más frecuentes en los machos que en las hembras. Aunque puede aparecer a cualquier edad, generalmente se suelen ver afectados perros jóvenes de 18 a 24 meses, y perros adultos con una media de 7 años.
Causas de un osteosarcoma en perros
Actualmente, la etiología de la mayoría de los tumores en perros sigue siendo desconocida y, por desgracia, el osteosarcoma no es una excepción. No obstante, existen ciertas evidencias sobre el posible origen de estos tumores, las cuales mencionamos a continuación:
- El hecho de que existan ciertas razas especialmente predispuestas, como el lebrel escocés, el rottweiler, los galgos, el San Bernardo y el lobero irlandés, parece indicar que existe cierta heredabilidad en la enfermedad: en concreto, para el lebrel escocés, se ha demostrado un riesgo de heredabilidad del 69%.
- Por otra parte, parece que existen ciertos factores físicos que pueden predisponer a la aparición del osteosarcoma: en este sentido, se ha observado que el osteosarcoma aparece con más frecuencia en los huesos que soportan más peso. Además, existen ciertas lesiones que se han relacionado con el desarrollo de estos tumores, como son las fracturas óseas, la colocación de implantes ortopédicos, o la existencia de otras enfermedades óseas (como osteomielitis, quistes óseos o tumores benignos). Sin embargo, la gran mayoría de tumores óseos primarios surgen de forma espontánea, sin una causa predisponente clara.
Síntomas de un osteosarcoma en perros
La historia clínica de los perros con cáncer de hueso es variable, aunque hay ciertos patrones comunes. En el casos del osteosarcoma, los síntomas iniciales suelen ser:
- Cojera crónica y progresiva: con el tiempo, la falta de apoyo del miembro afectado ocasiona una atrofia muscular marcada.
- Dolor severo.
- Áreas de inflamación: con tumefacción.
- Masa dura, visible y palpable: especialmente en las localizaciones donde el hueso está cubierto por poco tejido blanco.
Diagnóstico de un osteosarcoma en perros
Una vez explicado qué es y cuáles son los síntomas del osteosarcoma, es posible que te estés preguntando cómo saber si mi perro tiene osteosarcoma. Pues bien, para saberlo, es necesario realizar un buen protocolo diagnóstico, que incluya los siguientes puntos:
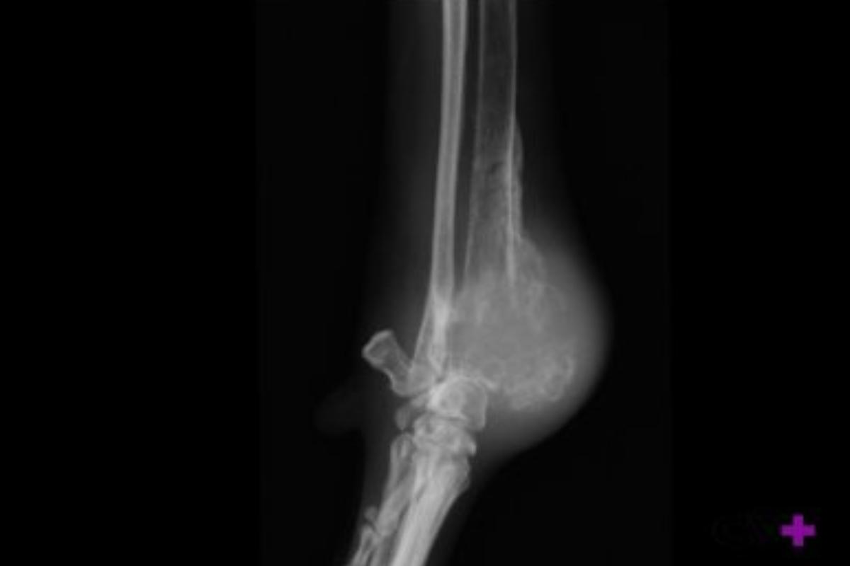
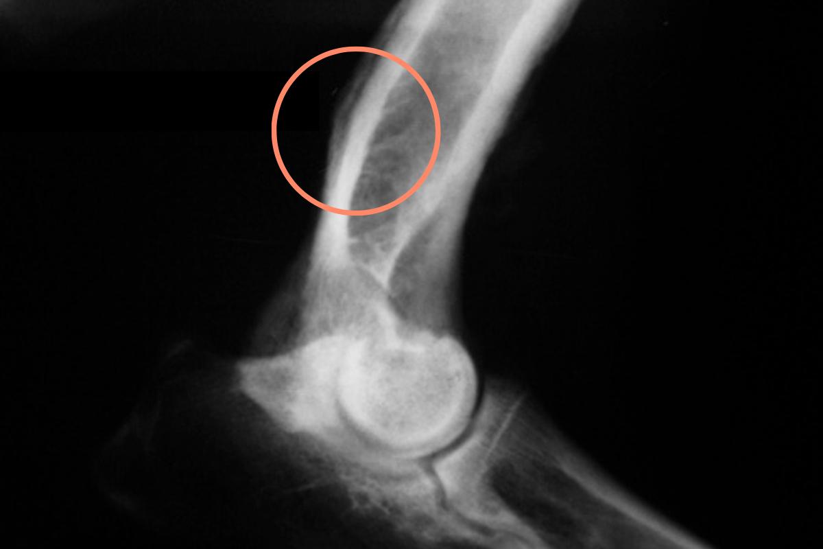
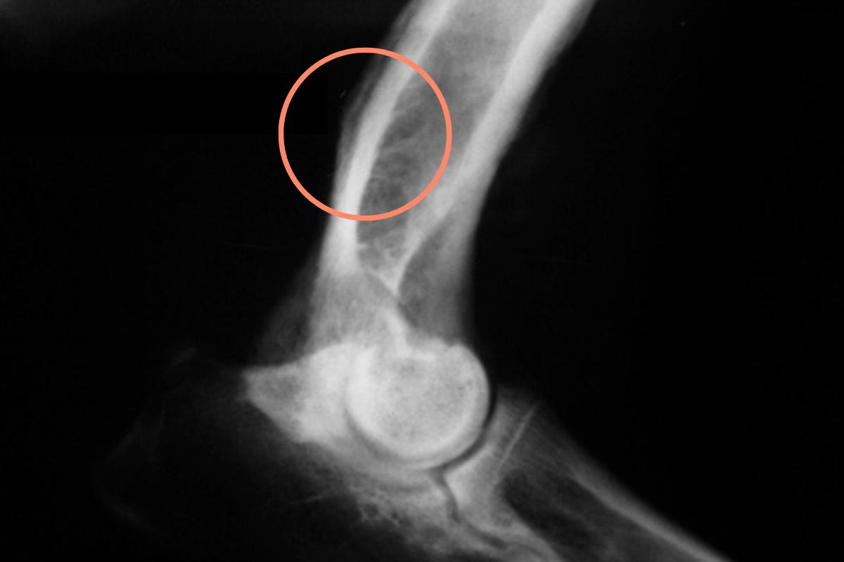
- Radiografía: las lesiones con una imagen de “apolillado”, con márgenes irregulares y mal definidos, especialmente cuando aparecen en las localizaciones más frecuentes de este tumor, nos hacen sospechar de la existencia de un osteosarcoma. Además, mediante la radiografía en ocasiones pueden observarse fracturas, puesto que un pequeño porcentaje de perros con osteosarcoma pueden presentar fracturas patológicas, es decir, fracturas originadas a raíz del daño óseo causado por el tumor. Cabe mencionar que las pruebas por imagen permiten realizar un diagnóstico presuntivo, pero para alcanzar el diagnóstico definitivo es necesario realizar las siguientes pruebas.
- Citología: consiste en tomar una muestra del tejido mediante aspiración con aguja fina y observarla al microscopio. Se trata de una técnica rápida, no invasiva y de bajo coste, que permite diagnosticar la existencia de un tumor mesenquimal. Sin embargo, para conocer el tipo concreto de tumor, es necesario recurrir a la última prueba.
- Examen histopatológico: la toma de una biopsia de hueso y su examen al microscopio será lo que permita alcanzar el diagnóstico definitivo de osteosarcoma. No obstante, es habitual realizar la cirugía tras el diagnóstico por citología, y una vez extirpado el tumor, confirmar el diagnóstico mediante el examen histopatológico del tejido extirpado.
Además, dada la alta tasa de metástasis del osteosarcoma canino, es fundamental realizar un examen físico riguroso y completo, incluyendo exámenes ortopédicos y neurológicos, pruebas de imagen en otras regiones corporales, análisis de sangre y de orina, para determinar el estado general del paciente y descartar la posible presencia de metástasis que condicionen el tratamiento y el pronóstico del animal.
No dudes en echarle un vistazo al siguiente post de ExpertoAnimal sobre "¿Cómo interpretar un análisis de sangre en perros?".
Tratamiento de un osteosarcoma en perros
En los perros con osteosarcoma, es crucial instaurar un tratamiento analgésico efectivo desde que se alcanza el diagnóstico hasta que se realiza la terapia especifica contra el tumor, para así paliar el dolor ocasionado por el tumor.
No obstante, la administración “a ciegas” de analgésicos y antinflamatorios pueden enmascarar el dolor y retrasar el diagnóstico del tumor, con el consiguiente riesgo de aparición de metástasis. Por ello, nunca se debe instaurar una terapia analgésica sin iniciar de forma paralela un protocolo diagnóstico que permita conocer el proceso patológico que está originando el dolor.
Una vez controlado el dolor, se debe proponer un tratamiento específico frente al osteosarcoma, el cual dependerá del estadio clínico en el que se encuentre el animal y del grado de colaboración que pueda ofrecer su cuidador/a. En este sentido:
- En los pacientes con metástasis: suele plantearse un tratamiento paliativo, a base de analgésicos (con o sin bifosfonatos), amputación paliativa y/o quimioterapia. ¿Cómo afecta la quimioterapia a los perros? Descubre la respuesta a continuación.
- En los pacientes sin metástasis: se puede plantear un tratamiento curativo, mediante cirugía (que puede implicar o no la amputación del miembro) y quimioterapia.
Cabe mencionar que la radioterapia es un tratamiento especialmente efectivo para controlar el dolor en los pacientes que no se pueden someter a cirugía, pero por desgracia, se trata de una terapia de elevado coste y que en España solo se encuentra disponible en la Facultad de Veterinaria de Lugo.
¿Cuánto tiempo vive un perro con osteosarcoma?
En los últimos años, se han realizado diversos estudios sobre los factores asociados a un peor pronóstico en los perros con osteosarcoma. A continuación, recogemos los principales factores que determinan el pronóstico y el tiempo de supervivencia de los perros con osteosarcoma:
- El aumento del tamaño del tumor: así como el alto grado y el alto índice mitótico son signos de mal pronóstico.
- La localización anatómica: también influye en el pronóstico del animal. En concreto, los tumores localizados a nivel del húmero tienen un peor pronóstico. Por el contrario, los osteosarcomas localizados distales al codo y a la rodilla (es decir, los que están en el final de las extremidades) se asocian a una supervivencia más larga de unos 465 días de media.
- La existencia de metástasis en el momento del diagnóstico: también se asocia a un peor pronóstico. La supervivencia de los perros con metástasis en el momento de diagnóstico es de 76 días de media, aunque esta puede alargarse hasta los 4-8 meses si se instaura un tratamiento paliativo adecuado. En los perros sin metástasis, el tiempo de supervivencia tras el tratamiento quirúrgico y quimioterápico es de un año de media.
- La edad: también esta asociada a una mayor mortalidad, aunque no necesariamente se relaciona con un mayor riesgo de sufrir metástasis.
- La fosfatasa alcalina: es uno de los factores pronósticos más conocidos para el osteosarcoma. Se trata de una enzima producida de forma habitual por el organismo, que sirve como indicador de muchas enfermedades, entre ellas el osteosarcoma. La elevación de la fosfatasa alcalina está claramente asociada a un peor pronóstico y a un menor tiempo de supervivencia.
Prevención de un osteosarcoma en perros
Como ya hemos mencionado, el osteosarcoma canino es un tumor de origen desconocido, que suele aparecer de forma espontánea, sin una causa predisponente clara. Este hecho dificulta enormemente la prevención de la enfermedad. No obstante, teniendo en cuenta el posible riesgo de heredabilidad del osteosarcoma, es importante evitar los cruzamientos entre perros que se hayan visto afectados por esta enfermedad.
Por último, mencionar que el hecho de que la prevención del osteosarcoma sea difícil, aumenta la importancia de realizar un diagnóstico lo más temprano posible de la enfermedad. La instauración de un tratamiento adecuado en las primeras fases del tumor, cuando aun no existen metástasis, determinará de forma crucial el pronóstico y la esperanza de vida del animal. Por ello, ante cualquier signo compatible con un osteosarcoma o cualquier otro tumor óseo, no dudes en acudir cuando antes a tu veterinario/a de confianza.
Este artículo es meramente informativo, en ExpertoAnimal.com no tenemos facultad para recetar tratamientos veterinarios ni realizar ningún tipo de diagnóstico. Te invitamos a que lleves a tu mascota al veterinario en el caso de que presente cualquier tipo de condición o malestar.
Si deseas leer más artículos parecidos a Osteosarcoma en perros - Síntomas y tratamiento, te recomendamos que entres en nuestra categoría de Otros problemas de salud.
¿Tienes contratado el Seguro de Responsabilidad Civil obligatorio para perros? Consiguelo al mejor precio rellenando el formulario con tus datos y los de tu mascota haciendo clic en este botón:
- Belda, B., Lara, A., Lafuente, P. (2016). Osteosarcoma apendicular canino. ¿qué opciones tenemos? Revista AVEPA; 36(4)
- Cartagena, J.C., Moya, S., Engel, J., Borrego, J.F., Kamu, S. Diagnóstico y tratamiento del osteosarcoma canino.

Hola a todos; realmente no tengo ninguna consulta al respecto, porque ya tenemos diagnóstico firme sobre los síntomas que padece nuestro bulldog francés de 10 años recién cumplidos. En el mes de septiembre, empezó a cojear sin más. Su veterinario nos recetó para infección en las almohadillas y a los 10 dias volvimos a ir porque empeoró. Nos volvió a recetar otras pastillas y otra crema para lo mismo. En el mes de octubre, ya camina mucho peor y el hueso de la escápula le sobresalía un poquito. Lo volvimos a llevar y el otro veterinario nos pidió disculpas por el primer diagnóstico de su compañero, haciéndole alguna radiografía de la escápula y su diagnóstico fue: artrosis. Tratamiento y esperanza de que fuera a mejor. Al cabo de una semana, nuestro niño, fue a peor y a caminar sólo con las tres patas, anulando esta y decidimos llevarlo a otro veterinario. Nada más verlo, nos dijo que no pintaba bien y enseguida radiografías, analítica y ahi mismo nos dijo que se trataba de un tumor. Al dia siguiente biopsia y nos diagnosticaron sarcoma grado alto a metastarsis probable. Estamos en diciembre y cada día que nos da Domus, es un regalo de la vida, pues llegará un día, que ya no podrá más y de alguna manera, confio, que él nos dirá que quiere dormir. Ya nos hemos puesto en contacto con una clínica oncológica y no hay nada que hacer y estamos destrozados y viviendo al día. Tal vez mi consulta aquí sería ¿pensáis que debería denunciar a la clínica veterinaria? mi marido no quiere porque toda su energía la quiere volcar en Domus y no en denuncias. Pero yo estoy tan rabiosa que no se qué sería capaz de hacer.
Ayer murió mi hermano del alma, se llamaba Rony, le detectamos que empezó a caminar mal de una semana para la otra, Pensamos que se había lastimado paseando , o en las escaleras de casa. Pero cuando fuimos al veterinario le diagnosticó tumor. En 10 días le hizo agujero en varios huesos. Muy fuerte. Un abrazo a todos .
Hola estoy angustiada. Tengo un labrador de un año q habia empezado con una inflamación en el hocico y sangrado apenas de nariz del mismo lado. Cuando fuimos la semana pasada nos dio Prednisolona 20mg y cefalaser 500 pensando qera inflamacion por un diente . Hoy volvimos porq seguia igual, aunq siempre con muy buen animo Thor le hicieron placa y salio esto q mando, q le falta parte del.hueso maxilar. Le hicieron una.biopsia y ahora tengo q esperar resumtado, pero el doc me dijo q un 80%es tumor y podria llegar a amputar . Estoy muy triste, como sigo? Que debo hacer si sale positivo? Dios no quiera. No hay posivilidad q sea otra cosa? Thor es mi vida 😞